Als uw bovenarm voor de eerste keer naar voren uit de schouderkom gaat heet dit een schouder uit de kom of een primaire anterieure schouderluxatie. De onderstaande tekst geldt alleen voor dit type luxaties. Voor een zogenaamde recidief luxatie of ander type, zoals een posterieure luxatie, geldt een ander protocol en vindt de behandeling plaats in overleg met uw behandelend arts in het ziekenhuis.
Als behandeling moet u rust nemen en oefeningen doen. U krijgt ook een sling. Een sling is een soort mitella. Een fysiotherapeut kan u helpen bij het herstel.
De onderstaande informatie is ontwikkeld voor de Virtual Fracture Care App, een samenwerking van de Nederlandse Vereniging voor Traumachirurgie en Zorg Bij Jou.
Samenvatting
Een afspraak op de polikliniek is meestal niet nodig. |
Schouder uit de kom
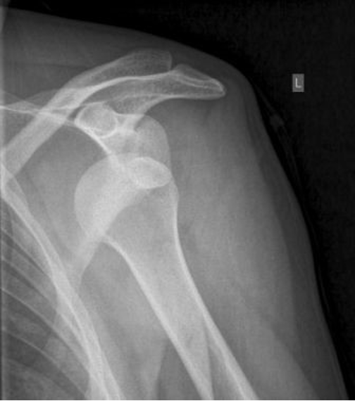
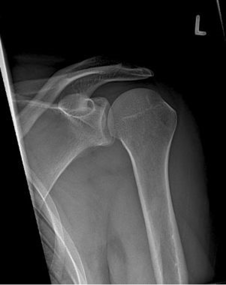
Bij dit letsel zit de kop (= onderdeel is van het bovenarmsbot), niet meer in zijn kom (= onderdeel van het schouderblad), waarbij het kapsel van de schouder overrekt is geraakt. Dit ontstaat meestal door een val op de arm of hand, waarbij tevens de schouder naar buiten is gedraaid. De kop schiet er meestal aan de voorkant uit, maar dat kan ook naar achteren of naar onderen gebeuren.
Diagnose en onderzoek
Vaak wordt er bij het lichamelijk onderzoek al een afwijkende stand van de schouder gezien. Op de aanvullende Röntgenfoto is meestal wel goed te zien dat de schouder uit de kom is. Soms gaat het uit de kom zijn gepaard met een breukje van de schouderkop of kom.



De behandeling
Een schouder uit de kom komt vaak voor. Als de schouder weer terug op de goede plek zit, heeft u meestal direct minder pijn. Als behandeling moet u rust nemen en oefeningen doen. U krijgt ook een sling. Door oefeningen te doen, worden uw schouder en arm niet stijf. Ook wordt de kans kleiner dat uw schouder weer uit de kom schiet.
Rond het schoudergewricht zitten meerdere pezen en spieren die de schouder stabiel houden. Als de schouder uit de kom is geweest, kunnen deze pezen en spieren beschadigd raken. Als dit gebeurt, kunt u lang klachten houden. Vanaf 50 jaar wordt de kans hierop steeds groter.
| Week 1 |
| Tussen week 1 en 6 |
| Vanaf week 6 |
Instructies
Volg de volgende instructies voor een zo goed mogelijk herstel.
- Als u een sling heeft gekregen, mag u deze de eerste week dragen om uw schouder rust te geven. Als u gaat slapen, mag u de sling afdoen.
Begin meteen met oefenen. Zo worden uw schouder en arm niet stijf. Stop als het pijn doet. - Vraag vanaf de eerste week hulp van een fysiotherapeut die ervaring heeft met schouders uit de kom. Vooral bij mannen jonger dan 35 jaar maakt hulp van de fysiotherapeut de kans kleiner dat de schouder weer uit de kom schiet.
- In de eerste 2 weken mag u uw arm niet naar voren of opzij optillen, niet naar buiten draaien en niet naar achter uitstrekken. Als u dit wel doet, is de kans groter dat uw schouder weer uit de kom schiet. Een voorbeeld van een beweging die u niet mag maken is het naar achteren kammen van de haren.
- Gebruik uw arm en schouder zo normaal mogelijk. Stop als het te veel pijn doet.
- De eerste 6 weken mag u niet sporten. Hierna kunt u steeds meer gaan sporten, als het niet te veel pijn doet. Het kan zijn dat sporten pas na 3 maanden goed lukt.
- Als u pijn heeft, kunt u paracetamol gebruiken. Gebruik maximaal 4 keer per dag 2 tabletten paracetamol van 500 mg. Doe dit maximaal 7 dagen.
Herstel
- Een controleafspraak op de polikliniek is vaak niet nodig. Als u veel klachten of pijn heeft en die pijn na 2 weken niet minder wordt, neem dan contact op met het ziekenhuis waar u onder behandeling bent. Als een controle dan toch nodig is, maken we een afspraak.
- Meestal bent u na enkele weken hersteld. Het kan tot 6 weken duren voordat u uw schouder en arm weer helemaal kunt gebruiken.
- Het is heel belangrijk om oefeningen te doen. Oefeningen maken uw spieren sterker. Door oefeningen te doen wordt de kans ook kleiner dat uw schouder weer uit de kom schiet.
Oefeningen
Om te zorgen dat uw schouder niet stijf wordt en u geen kracht verliest, moet u oefeningen doen. In de eerste week mag u de sling dragen om uw schouder rust te geven. Ga pas verder naar de volgende stap in de oefeningen als u de eerdere oefeningen kunt uitvoeren. Blijf de eerdere oefeningen steeds herhalen.
Vraag hulp van een fysiotherapeut.
Belangrijk!
Het is niet erg als u moe bent of spierpijn heeft. Overdrijf niet. Stop met oefenen als het pijn doet. Probeer het later nog een keer.
Week 1
Doe de oefeningen. Stop als het te veel pijn doet. U mag de sling dragen om uw schouder rust te geven.
- Beweeg de vingers en hand door een vuist te maken. Doe dit 10 tot 15 keer per dag.
- Strek en buig uw elleboog. Doe dit 10 tot 15 keer per dag.
- Druk uw onderarm tegen de buik. Houd dit een aantal seconden vol en laat los.
- Druk uw bovenarm tegen de zijkant van uw borstkas. Let erop dat uw onderarm tegen uw buik aanligt. Houd dit een aantal seconden vol en laat los.
- Ga iets gebukt voorover staan en maak kleine cirkelbewegingen met de elleboog. Dit heet een pendelbeweging. Doe dit 10 tot 15 keer achter elkaar, 3 tot 4 keer per dag.

Week 2
Laat de sling zoveel mogelijk af.
U mag u uw arm niet naar voren of opzij optillen, niet naar buiten draaien en niet naar achter uitstrekken. Als u dit wel doet, is de kans groter dat uw schouder weer uit de kom schiet. Een voorbeeld van een beweging die u niet mag maken is het naar achteren kammen van de haren.
Doe de volgende oefeningen 10 tot 15 keer achter elkaar, 3 tot 4 keer per dag.
- Druk uw gestrekte arm tegen de zijkant van uw lichaam. Houd dit een aantal seconden vol en laat los. Zie foto 2.
- Ga iets gebukt voorover staan en laat uw arm gestrekt naar beneden hangen. Maak linksom en rechtsom kleine cirkelbewegingen. Zie foto 3.
- Buig en strek de elleboog, terwijl u gebukt voorover staat. Zie foto 4.

Week 3
Doe de volgende oefeningen 10 tot 15 keer achter elkaar, 3 tot 4 keer per dag.
- Loop met de hand over uw borstkas naar de gezonde schouder en probeer het schouderblad aan te tikken. Ondersteun uw elleboog met uw andere hand. Zie foto 5.
- Plaats uw handen tegen elkaar voor uw borstkas en zet ze tegen elkaar. U voelt de spieren aan de voorkant van uw schouder aanspannen. Zie foto 6.

- Strek uw arm. Breng deze naar voren en til omhoog tot schouderhoogte. Zie foto 7. Probeer de arm hier even vast te houden.
- Til uw gestrekte arm opzij tot aan schouderhoogte. Maak eventueel gebruik van een muur voor wat steun. Zie foto 8. Probeer de arm hier even vast te houden.
- Beweeg de arm rustig met een gestrekte of gebogen elleboog naar achteren. Zie foto 9.

Week 4 tot 6
Doe de volgende oefeningen 10 tot 15 keer achter elkaar, 3 tot 4 keer per dag. Wissel de oefeningen af. Doe de oefeningen in een rustig tempo.
- Herhaal de oefeningen uit week 3 waarbij u de arm nu rustig boven het niveau van de schouder tilt. U mag uw arm ver bewegen, als het niet te veel pijn doet.
- Probeer de oefeningen van foto 7 en 8 uit te voeren terwijl u met de gezonde arm weerstand biedt. Stop als het pijn doet.
Vanaf week 6
- Herhaal de oefeningen van week 4 tot 6 tot uw schouder weer helemaal goed voelt.
- Zwemmen is een goede oefening voor uw schouder.
- Door oefeningen te doen wordt de kans kleiner dat uw schouder weer uit de kom schiet.