Olecranon fractuur – gebroken ellepijp ter hoogte van de elleboog
Inleiding
Deze folder geeft u algemene informatie over de behandeling van een gebroken ellepijp ter hoogte van de elleboog, de zogenaamde ‘olecranon’ breuk. Het is goed u te realiseren dat voor u persoonlijk de situatie anders kan zijn dan beschreven.
Het olecranon
Het olecranon is een onderdeel van de ellepijp ter hoogte van de elleboog. Het olecranon zorgt voor het scharnierende gedeelte van de elleboog. Aan het olecranon zitten de pezen van de strekspier (de triceps). Wanneer de triceps aanspant, dan zal de onderarm strekken. Het olecranon vormt derhalve een belangrijk onderdeel van het strekapparaat van de elleboog. Tevens loopt er aan de binnenkant van het olecranon een zenuw (de ulnaris). Deze zenuw zorgt onder andere voor het gevoel van de pink en voor het spreiden van de vingers.
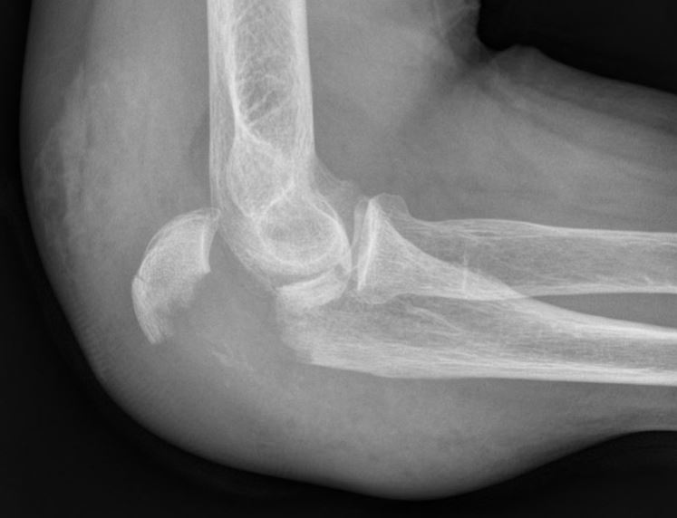
De breuk
Bij een breuk van het olecranon is er vaak pijn en zwelling ter hoogte van de elleboog en een onvermogen om de arm te strekken. Een Röntgenfoto kan de diagnose bevestigen.
![]()
Behandeling
Als het stukje bot waar de strekpees aan vast zit helemaal is losgetrokken van de rest van de ellepijp en de strekfunctie van de elleboog dus volledig is uitgevallen, dan is er een reden om met een operatie het stuk bot weer aan de rest van de ellepijp vast te zetten. Dit is meestal het geval bij een olecranon breuk. Indien het bot alleen gescheurd is en de strekpees dus eigenlijk nog vastzit aan de rest van de ellepijp, kan dit soms met gips worden uitbehandeld.
Operatie
De meeste breuken van het olecranon zullen operatief worden vastgezet met een zogenaamde ‘Zuggurtung’, bestaande uit enkele dunne metalen pinnetjes en een metalen vlechtdraad. Deze worden geplaatst via een snede aan de strekzijde van de elleboog. Wanneer de breuk uit meerdere delen bestaat, kan het ook zijn dat de traumachirurg er voor kiest de breuk vast te zetten met een plaat en schroeven. Welke operatie u krijgt, is dus afhankelijk van de eigenschappen van de breuk en de toestand van de huid en de spieren, maar ook de voorkeur van uw traumachirurg.


Zoals elke operatie, heeft ook een operatie voor een gebroken olecranon kans op complicaties, zoals ontstekingen van de wond, zenuwletsel en het loslaten van het fixatie materiaal en het niet goed willen vastgroeien van de breuk. Ook hebben patiënten na een operatie nogal eens last van irritatie van het fixatiemateriaal, omdat het materiaal hier vlak onder de huid ligt. Indien de breuk na geruime tijd is vastgegroeid (meestal 6-9 maanden) en het fixatiemateriaal geen nut meer heeft, kunt u overwegen om het materiaal weer operatief te laten verwijderen indien u hier klachten van hebt. Indien u geen klachten hebt, is het veilig om het fixatiemateriaal gewoon te laten zitten.
Na de behandeling
Meestal zult u na de operatie een drukverband krijgen, in enkele uitzonderlijke gevallen gips. U gaat naar huis met een draagdoek (mitella) of draagband, zodat de arm rust kan krijgen. Deze draagdoek kan ‘s nachts af en om uw arm dan rust te geven, kunt u deze op een kussen leggen. U krijgt een afspraak voor controle op de polikliniek chirurgie. Vaak wordt er bij 1 of meerdere controles een röntgenfoto gemaakt.
Hoeveel weken rust?
Hoe lang u na de operatie rust moet houden, is afhankelijk van het soort breuk en hoe stevig de chirurg de breukdelen weer aan elkaar heeft kunnen zetten. Meestal zal het zo zijn dat u tot 6 weken na de operatie uw arm niet mag belasten maar wel mag bewegen/oefenen om het gewricht soepel te houden. Indien u gips hebt, is oefenen uiteraard alleen mogelijk met de delen die niet zijn ingegipst.
Verdere adviezen
Bewegen na de operatie is goed, maar het belangrijkste is dat u daarbij naar uw lichaam ‘luistert’. Als het u geen pijn veroorzaakt mag u met de schouder, elleboog, pols en vingers oefenen wat de pijn toelaat. Het is goed in elk geval de schouder voldoende in beweging te houden, omdat deze anders stijf kan worden. Als oefenen van de elleboog nog te pijnlijk is, moet u nog even rustig aan doen. Als u bemerkt dat de draagdoek niet meer nodig is en uw hand is niet dik meer, hoeft u deze niet meer te gebruiken. Dit is vaak al na 1 of 2 weken het geval. Echter ook hierbij geldt: het mag u geen pijn veroorzaken.
Wat u verder nog moet weten
U moet er rekening mee houden dat u zeker meer dan 6 weken nodig heeft voordat u elleboog weer redelijk goed kunt gebruiken. Vaak is belasten van de arm met kracht pas toegestaan als de breuk al enigszins is vastgegroeid, dit duurt in de regel minimaal zo’n 6 weken. Daarna kunt u pas de kracht en belasting gaan uitbreiden. Volledig normaal en pijnvrij gebruik van de elleboog zal meestal pas na 3-6 maanden worden bereikt. Soms kan nabehandeling met behulp van een fysiotherapeut nodig zijn, zeker als er stijfheid is van de elleboog.
Vragen
Heeft u nog vragen, stel ze gerust aan uw behandelend arts of huisarts. Bij dringende vragen of problemen vóór uw behandeling kunt u zich het beste wenden tot de afdeling waar de behandeling plaats moet vinden. Wanneer zich thuis na de operatie problemen voordoen, neem dan contact op met de huisarts of het ziekenhuis.
Tot slot
Bent u van mening dat bepaalde informatie ontbreekt of onduidelijk is, dan vernemen wij dat graag van u.