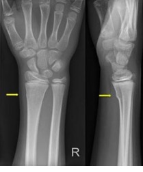
Uw kind heeft een kleine breuk in de ellepijp of het spaakbeen, in de buurt van de pols. Het is een knikje in het bot. Dit heet een Torus fractuur. Als behandeling krijgt uw kind een tubigrip en een sling. Een sling is een soort mitella.
De onderstaande informatie is ontwikkeld voor de Virtual Fracture Care App, een samenwerking van de Nederlandse Vereniging voor Traumachirurgie en Zorg Bij Jou.

Samenvatting
De behandeling
Deze breuk komt vaak voor bij kinderen. De behandeling is een tubigrip en een sling. Een sling is een soort mitella.
| Week 1 |
| Tussen week 1 en 2 |
| Week 3 en 4 |
| Na 4 weken |
Instructies
Volg de volgende instructies voor een zo goed mogelijk herstel.
- De tubigrip en sling houden de arm in een prettige positie.
- Uw kind mag de sling afdoen zodra de pols niet te veel pijn meer doet.
- Na 1 week mag de tubigrip af. Als de pols dan nog te veel pijn doet, mag de tubigrip in week 2 soms ook nog aan. Gebruik de tubigrip niet langer dan 2 weken.
- Laat uw kind na 1 of 2 weken de pols zo veel mogelijk bewegen. De pols wordt dan niet stijf.
- Na 3 weken mag uw kind de pols weer normaal gebruiken. Stop als het te veel pijn doet.
- Als uw kind gaat douchen, mag de tubigrip af. Maak de arm goed droog voor u de tubigrip weer aandoet.
- Als uw kind pijn heeft, mag u paracetamol geven. Wacht niet met paracetamol geven totdat uw kind te veel pijn heeft.
Herstel
- Een controleafspraak op de polikliniek is vaak niet nodig. Als uw kind veel pijn heeft en die pijn niet minder wordt, neem dan contact op met het ziekenhuis waar uw kind onder behandeling is. Als een controle dan toch nodig is, wordt een afspraak gemaakt.
- Meestal is de pols na enkele weken hersteld.
Oefeningen
Probeer uw kind de pols te laten bewegen. Stop als het te veel pijn doet. Speciale oefeningen zijn niet nodig.