Inwendig letsel van de buikholte
Inleiding
Deze informatie gaat over letsels van de inwendige buikorganen en de meest gebruikelijke behandelingsmogelijkheden. Het gaat om algemene informatie over soms zeer gecompliceerde letsels. Het is goed u te realiseren dat voor u persoonlijk de situatie anders kan zijn dan beschreven.
Buikorganen:
In de buik liggen meerdere organen die bij een ongeval beschadigd kunnen raken. Het meest voorkomend zijn letsels van de lever en milt, maar ook letsels van de nieren komen veelvuldig voor. De nieren liggen achter aan de achterkant van de buik en dus strikgenomen niet in de buik. Na een ongeval kunnen ook letsels van de darmen, alvleesklier, blaas en bloedvaten optreden, maar deze komen minder vaak voor.
Letsels van de buikorganen
De oorzaak van een letsel van de buikorganen kun je grofweg in twee groepen indelen: letsels tgv een zogenaamd “stomp trauma” of tgv een “scherp trauma”. Een “stomp buiktrauma” is een ongeval waarbij er inwerkend geweld van buitenaf heeft plaatsgevonden, zonder dat deze de buikwand heeft gepenetreerd. Het gaat hier dus om een druk of klap van buitenaf. Veelal is dit ten gevolge van een ‘hoog-energetisch ongeval’ zoals een verkeersongeval met hoge snelheid of een val van grote hoogte. Een “scherp buiktrauma” is een ongeval waarbij het inwerkende geweld door de buikwand heen is gepenetreerd, zoals een schot- of steekverwonding. In Nederland is de oorzaak van een inwendig buikletsel meestal het gevolg van een stomp trauma, aangezien schot- en steekwonden in Nederland gelukkig relatief weinig voorkomen.
Diagnose en onderzoek: de opvang op de SEH
Als een patiënt een ‘hoog-energetisch ongeval’ heeft doorgemaakt, dan komt de patiënt vrijwel altijd met de ambulance of helikopter in het ziekenhuis. Op de Spoedeisende hulp wordt de patiënt dan via een vast stramien opgevangen, waarbij er volgens een ABCD principe naar de patiënt gekeken wordt, waarbij de A staat voor ‘airway’ (of de luchtwegen nog goed zijn) de B voor ‘breathing’ (of de ademhalingsorganen nog goed werken) de C voor ‘circulation’ (of de bloedsomloop nog goed werkt) en de D voor ‘disability’ (of er neurologische uitval is) Er zullen al snel Rontgen foto’s van de patiënt worden gemaakt en een echografie van de buik. Vaak zijn er op de echografie van de buik al tekenen van inwendige schade (zoals bijvoorbeeld vrij bloed in de buikholte). In veel ziekenhuizen zal er vervolgens een CT-scan van de buik worden gemaakt, om letsels aan de inwendige buikorganen aan te tonen, danwel uit te sluiten.

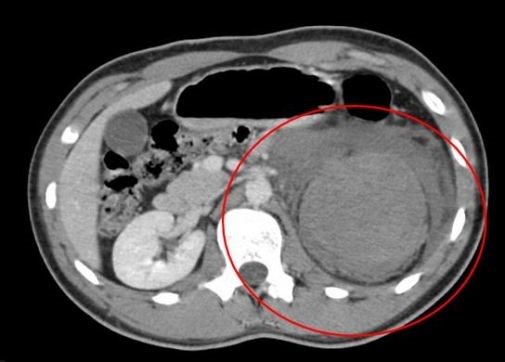
CT scan van de buik met een nierletsel
De behandelingsmogelijkheden.
Indien er sprake is van een inwendig letsel van de buikorganen, is de behandeling geheel afhankelijk het soort ongeval (‘stomp’ of ‘scherp’), van welk orgaan het betreft en hoe de toestand is van de patiënt; hoe de bloeddruk is en hoe de hartslag is.
Letsels tgv een ‘stomp trauma’: Indien het letsel op de echo of CT beperkt lijkt qua omvang en de patiënt niet teveel bloed lijkt te verliezen (en de bloeddruk en hartslag stabiel blijven) kunnen letsels van de lever, milt en nieren veelal zonder operatie worden behandeld. Vaak stopt de bloeding op den duur vanzelf. De patiënt zal in tussentijd meestal wel bewaakt worden op de Medium Care of Intensive Care afdeling. Indien de patiënt toch teveel bloed lijkt te verliezen om rustig af te wachten, zijn er nog twee opties: ‘interventie radiologie’ of opereren. Bij interventie radiologie kan de radioloog via een prik in de liesslagader een dun slangetje opvoeren tot in het bloedende vat van het gekwetste orgaan. Via dit slangetje kan de radioloog dan het bloedende vat van binnenuit dichtmaken. Indien dit niet kan of de patiënt teveel bloed verliest om deze procedure af te wachten, dan zal de traumachirurg de patiënt met spoed naar de operatiekamer brengen om de bloeding met behulp van een buikoperatie te stoppen. In het geval van de milt moet deze dan soms worden verwijderd (je kunt je milt eventueel missen) Wanneer er tgv een ‘stomp trauma’ de darmwand is gescheurd, zal dit altijd met een operatie behandeld moeten worden, om te voorkomen dat de darminhoud de buik inloopt en de patiënt een buikvliesontsteking krijgt.
Letsels tgv een ‘scherp trauma’: In het geval van een ‘scherp’ trauma zal er over het algemeen laagdrempeliger geopereerd worden, omdat deze letsels minder makkelijk vanzelf stoppen met bloeden en de traumachirurg tijdens een operatie beter kan beoordelen welke organen er tgv van de schot- of steekverwonding zijn beschadigd.
Vragen
Heeft u nog vragen, stel ze gerust aan uw behandelend arts of huisarts.
Bij dringende vragen of problemen vóór uw behandeling kunt u zich het beste wenden tot de afdeling waar de behandeling plaats moet vinden. Wanneer zich thuis na de operatie problemen voordoen, neem dan contact op met de huisarts of het ziekenhuis.
Tot slot
Bent u van mening dat bepaalde informatie ontbreekt of onduidelijk is, dan vernemen wij dat graag van u.