Inwendig letsel van de borstholte
Inleiding
Deze informatie gaat over letsels van de borstholte en de meest gebruikelijke behandelingsmogelijkheden. Het gaat om algemene informatie over soms zeer gecompliceerde letsels. Het is goed u te realiseren dat voor u persoonlijk de situatie anders kan zijn dan beschreven.
Borstholte:
De borstholte bestaat uit een stevige kooi van ribben, het borstbeen en de wervelkolom aan de achterkant. Tussen de ribben en over de ribben heen liggen allerlei spieren. De belangrijkste organen die in de borstholte liggen zijn de longen en het hart met de grote bloedvaten.
Letsels van de borstholte
De oorzaak van een letsel van de borstholte kun je, net als bij de buik, grofweg in twee groepen indelen: letsels tgv een zogenaamd “stomp trauma” of tgv een “scherp trauma”. (zie ook informatie: inwendige letsels van de buik)
Letsels aan de borstholte kunnen gelegen zijn in de ribben (oa gekneusde of gebroken ribben), aan de longen (oa. longkneuzing, klaplong, longbloeding) aan het hart (oa. kneuzing, bloeding vh hartzakje) en grote vaten (oa. scheur van de grote lichaamsslagader)
Diagnose en onderzoek: de opvang op de SEH
Als een patiënt een ‘hoog-energetisch ongeval’ heeft doorgemaakt, dan komt de patiënt vrijwel altijd met de ambulance of helikopter in het ziekenhuis. Op de Spoedeisende hulp wordt de patiënt dan via een vast stramien opgevangen, waarbij er volgens een ABCD principe naar de patiënt gekeken wordt, waarbij de A staat voor ‘airway’ (of de luchtwegen nog goed zijn) de B voor ‘breathing’ (of de ademhalingsorganen nog goed werken) de C voor ‘circulation’ (of de bloedsomloop nog goed werkt) en de D voor ‘disability’ (of er neurologische uitval is) Er zullen al snel Röntgenfoto’s van de patiënt worden gemaakt en een echografie van de buik. Veel letsels zijn al redelijk goed te zien op de Röntgenfoto van de borstholte. Indien de röntgenfoto afwijkend is, kan de traumachirurg besluiten aanvullend een CT scan van de borstholte te maken om beter inzicht te krijgen in de aanwezige letsels.

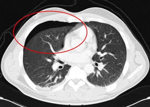
CT scan van de borstholte met daarop een (kleine) klaplong
De behandelingsmogelijkheden.
Omdat er zeer veel verschillende letsels aan de borstholte aanwezig kunnen zijn en al deze letsels verschillend behandeld worden, zullen hieronder de meest voorkomende letsels besproken worden.
Gebroken of gekneusde ribben: deze zullen in principe altijd met pijnstilling worden behandeld. In principe worden deze letsels zelden geopereerd. In het ziekenhuis zal de patiënt vaak ademhalingsoefeningen krijgen van de fysiotherapeut. De pijnklachten zullen na 1-2 weken al wel afnemen, maar kunnen (zeker bij hoesten of lachen) soms tot 6-8 weken na het ongeval aanhouden. Zie hiervoor ook de folder gebroken ribben.
Klaplong of bloed tussen de longbladen: wanneer er bij een klaplong (= ‘pneumothorax’) slechts een beetje lucht tussen de longbladen zit of wanneer er slechts een beetje bloed tussen de longbladen zit (‘hematothorax’) en de long dus maar weinig ingeklapt is en de patiënt hierbij niet benauwd is, kan dat afwachtend worden behandeld en dient de patiënt over het algemeen goed in de gaten te worden gehouden. Wanneer de hoeveelheid lucht groter is (en de klaplong dus ernstiger) of de hoeveelheid bloed tussen de longbladen groter is, dan zal er operatief een slang (zogenaamde ‘thoraxdrain’) tussen de longbladen moeten worden geplaatst, zodat de lucht of het bloed er tussenuit kan en de long zich weer goed kan ontplooien. Deze drain kan afhankelijk van het beloop meestal na enkele dagen er weer uit worden gehaald als de long weer helemaal ontplooit is.
Longkneuzing: bij een longkneuzing (‘longcontusie’) functioneert de long minder goed door zwelling en vochtophoping in de longblaasjes. Hier kan echter met een operatie niet veel aan worden gedaan. Wel krijgt de patiënt pijnstilling en ademhalingsoefeningen van de fysiotherapeut. Bij ernstige verslechtering van de longfunctie kan de patiënt zo nodig ondersteund worden met een beademingsmachine op de Intensive Care.
Letsel grote lichaamsslagader: dit is een potentieel levenbedreigende aandoening, omdat uit een gescheurde grote lichaamsslagader (‘aorta-ruptuur’) in een korte tijd veel bloed verloren kan gaan. Afhankelijk hoe de bloeddruk en de hartslag van de patiënt zijn, zal de traumachirurg of thoraxchirurg samen met de radioloog bepalen wanneer en welke ingreep er gedaan moet worden. Grofweg zijn er twee opties: een open operatie, waarbij het gat wordt gedicht of een slecht gedeelte van de slagader wordt vervangen door een kunststof buis, of interventie radiologie, waarbij via een prik in de liesslagader de radioloog van binnenuit een kunststof buisje aan de binnenkant van het defect plaatst (een zogenaamde extra binnenband).
Vragen
Heeft u nog vragen, stel ze gerust aan uw behandelend arts of huisarts.
Bij dringende vragen of problemen vóór uw behandeling kunt u zich het beste wenden tot de afdeling waar de behandeling plaats moet vinden. Wanneer zich thuis na de operatie problemen voordoen, neem dan contact op met de huisarts of het ziekenhuis.
Tot slot
Bent u van mening dat bepaalde informatie ontbreekt of onduidelijk is, dan vernemen wij dat graag van u.