Clavicula fractuur – sleutelbeen breuk
Inleiding
Deze folder geeft u informatie over de behandeling van een sleutelbeenbreuk (clavicula fractuur). Het is goed u te realiseren dat voor u persoonlijk de situatie anders kan zijn dan beschreven.
De sleutelbeenbreuk
De sleutelbeenbreuk is één van de meest voorkomende botbreuken. Het is (gelukkig) bijna altijd een gemakkelijk genezende botbreuk. Er doen zich zelden complicaties voor. De behandeling is eenvoudig; enige weken rust is vaak alles wat nodig is.
Diagnose en onderzoek

Omdat het sleutelbeen door zijn ligging zo makkelijk is te onderzoeken, kan de arts na zijn onderzoek meestal met zekerheid vaststellen of uw sleutelbeen gebroken is. Vaak zal de arts er voor kiezen aanvullend een röntgenfoto te maken.
De behandeling
De behandeling van een sleutelbeenbreuk is meestal conservatief (= geen operatie). Rust wordt gegeven door middel van een mitella (= draagdoek). Deze kan gedurende enkele weken worden gedragen, afhankelijk van de klachten.
Bij kinderen
Bij kinderen is er meestal een “greenstick ” breuk (= twijgbreuk). Het beenvlies is daarbij nog heel en alleen het bot daarbinnen is gebroken (meestal alleen geknakt). Het dragen van de mitella is maar één tot drie weken nodig. ‘s Nachts hoeft de mitella niet om. Wanneer het kind weinig of geen last meer heeft, is de mitella niet meer nodig. De functie van schouder en arm herstelt doorgaans binnen enkele weken volledig. Het is verstandig sport en gymnastiek pas 6 weken na het ongeval te hervatten.
Bij volwassenen
Rust bevordert de genezing. Door middel van een mitella is er voldoende rust voor een goede genezing. Indien er een sterk afwijkende stand bestaat, wordt dit in de loop van de eerste week meestal minder. In het algemeen dient een mitella 2 tot 4 weken te worden gedragen. De laatste 2 weken hoeft dat niet de gehele dag meer. Tijdens douchen/baden en ‘s nachts kan de mitella worden afgedaan. Om verstijving van de schouder te voorkomen moet u zodra het mogelijk is draaioefeningen doen met de schouder. Dat doet u door het bovenlichaam voorover te buigen, zodat de arm in de mitella vrij komt te hangen en u draaiende bewegingen kunt maken met de schouder. Bij deze oefening lijkt het alsof u in een grote pan roert, waarbij u in de loop van de tijd de pan steeds groter ‘maakt’. Ook is het verstandig tijdens de gehele periode zo nu en dan de arm uit de mitella te doen en de elleboog even te strekken. Algemene regel: “luister ” naar de pijn. Indien u geen pijnklachten meer heeft, is de mitella niet meer nodig. Alles wat mogelijk is, zonder dat dit pijn veroorzaakt, is toegestaan. Na 4 tot 6 weken dient de arm weer goed boven het hoofd bewogen te kunnen worden. Indien dit niet lukt is het raadzaam contact op te nemen met uw huisarts of specialist. Deze kan dan beoordelen of fysiotherapeutische hulp nodig is. Na 6 weken is de breuk zodanig genezen, dat de meeste arbeid weer verricht kan worden. Zware lichamelijke arbeid, waarbij de schouder veel wordt belast, zal misschien enkele weken langer moeten wachten. Na de genezing van de breuk kan een verdikking van het bot ter plaatse van de breuk zichtbaar blijven. Ook kan de schouder wat verkort zijn, omdat het sleutelbeen door de breuk korter is geworden. Op de functie van de schouder heeft dat doorgaans geen enkel invloed.


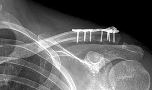
Eventuele operatie Slechts in bepaalde gevallen is er een reden voor een operatie. Een harde reden voor een operatie kan zijn dat een botstuk door de huid dreigt heen te gaan. Ook kan een sterk afwijkende stand een reden zijn voor een operatie. De nadelen van een operatie (ontsierend litteken, infectiekans, uitbreken van fixatiemateriaal) wegen echter vaak niet op tegen de voordelen (standscorrectie). Uw behandelend arts zal samen met u een afweging kunnen maken hoe dat in uw specifieke situatie is. Bij sleutelbeen breuken waarbij de breuk helemaal aan de zijkant ligt, zal er wel sneller naar een operatieve behandeling worden geneigd. Indien er voor een operatie wordt gekozen, zal er meestal gebruik worden gemaakt van een plaatje met schroeven.
Nabehandeling
Tegen de pijn is over het algemeen een eenvoudige pijnstiller voldoende (bijvoorbeeld paracetamol of diclofenac). Het is niet standaard nodig met röntgenonderzoek vast te stellen of de breuk genezen is. Bij twijfel kan de huisarts of de specialist aan de hand van lichamelijk onderzoek vast stellen of de genezing goed verloopt.
Niet-genezende breuk
Het kan gebeuren dat de sleutelbeenbreuk niet geneest. Bij het ontbreken van klachten hoeft dat geen consequenties te hebben. Bij klachten kan wellicht met een botgroeistimulator (laag gedoseerd ultrageluid of electromagnetische velden) alsnog genezing worden bereikt. Indien dit niet helpt, zal alsnog een operatie noodzakelijk zijn.
Vragen
Heeft u nog vragen, stel ze gerust aan uw behandelend (eerste hulp)arts of huisarts. Bij dringende vragen of problemen over uw behandeling kunt u zich het beste wenden tot de afdeling waar de verdere behandeling plaats moet vinden.
Tot slot
Bent u van mening dat bepaalde informatie ontbreekt of onduidelijk is, dan vernemen wij dat graag van u.