Gebroken vingers of (midden)hand
Inleiding
Deze folder geeft u algemene informatie over de behandeling van breuken van de vingers of (midden)hand. Het is goed u te realiseren dat voor u persoonlijk de situatie anders kan zijn dan beschreven.
De vingers en de hand
De vingers en de hand zijn een zeer complex geheel van botten, spieren, kapsels, pezen, zenuwen en bloedvaten. Ter hoogte van de pols zitten in de hand de handwortelbeentjes (8 stuks), dan komen de middenhandsbeentjes (5 stuks) en daarna de vingers (de duim bestaat uit 2 botjes, de vingers elk uit 3).
De breuk
In principe kunnen alle botjes van de hand en vingers breken. Vaak gebeurt dit door een val op de hand of door een harde klap tegen de hand.
Afhankelijk van waar de breuk zich precies bevindt en hoe de breuk verloopt, zal de behandeling specifiek worden ingezet.
Behandeling
Veel breuken van de hand of vingers kunnen zonder operatie (= ‘conservatief’) worden behandeld. Bij sommige breuken in de vingers kan dat met een vorm van tape, maar de meeste breuken in de hand of vingers zullen meestal in gips behandeld worden. Afhankelijk van waar de breuk zit en de stand van de breuk, zal uw traumachirurg de duur van de gipsbehandeling bepalen. Bij vingers is dit over het algemeen vrij kort (soms zelfs slechts 1 week, daarna tape). Bij de middenhand of bij de handwortelbeentjes is dit meestal wat langer (circa 3-4 weken) Een uitzondering vormt het ‘scaphoid’, een bootvormig botje dat onderdeel vormt van de handwortelbeentjes. Dit zijn beruchte breuken die soms heel langzaam kunnen genezen. In sommige gevallen van een scaphoid breuk kan het zelfs nodig zijn tot 12 weken gips te geven!
Indien er sprake is van een ernstige breuk met een slechte stand of wanneer de traumachirurg inschat dat u dankzij een operatie sneller geneest dan met gips, dan kan de traumachirurg samen met u bepalen dat er een indicatie is voor een operatie.
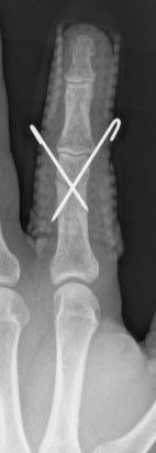
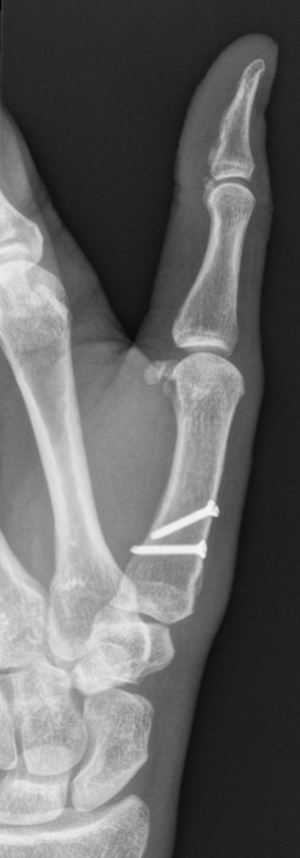
Operatie
Voor een operatie van de hand of vingers zijn er meerdere opties. Er kan gebruik worden gemaakt van zeer kleine plaatjes en schroeven voor het vastzetten van de breuk. Soms wordt er ook gebruik gemaakt van dunne metalen pennen of van een fixatie aan de buitenkant (zogenaamde ‘externe fixateur’). Welke operatie u uiteindelijk krijgt, is afhankelijk van de eigenschappen van de breuk, de toestand van de huid en de spieren en de voorkeur van uw traumachirurg.
Zoals elke operatie, heeft ook een operatie voor een hand of vingers kans op complicaties, zoals ontstekingen van de wond, pijnklachten, pees-, vaat- of zenuwletsel, stijfheidklachten, het loslaten van het fixatie materiaal en het alsnog verplaatsen van de breuk.

Na de behandeling
U gaat naar huis met een draagdoek (mitella), zodat de arm rust krijgt en u de hand hoog kunt houden in verband met de zwelling. Deze draagdoek kan ‘s nachts af en om uw arm dan rust te geven, kunt u deze op een kussen leggen. U krijgt een recept mee voor een pijnstiller. Let op: wanneer u bloedverdunnende medicijnen gebruikt, moet u dit aan de arts melden, zodat deze bij het voorschrijven van een pijnstiller hier rekening mee kan houden! Als de voorgeschreven pijnstilling niet voldoende is of als u na drie dagen nog steeds niet zonder kunt, wordt u verzocht contact met ons op te nemen. U krijgt een afspraak voor controle op de polikliniek chirurgie. Vaak wordt bij deze eerste controle een röntgenfoto gemaakt en indien u langer in gips wordt behandeld, krijgt u een nieuw / extra gips aangelegd.
Wat u verder nog moet weten
De hand en vingers zijn een complex geheel van botten, spieren, pezen en kapsels. Indien deze tijdelijk niet gebruikt kunnen worden ten gevolge van de breuk, kunnen deze snel stijf worden. Wat dat betreft zijn de hand en vingers gebaat bij zo snel mogelijk hervatten van bewegingen. Doordat u de hand en vingers tijdelijk toch minder kunt gebruiken, is er in het begin vaak sprake van stijfheid. Deze stijfheid kan echter soms wel tot maanden na de behandeling aanhouden, ondanks veelvuldig oefenen. Soms kan hiervoor een fysiotherapeut of specifieke handentherapeut worden ingezet om het oefenen zo veel mogelijk te bevorderen.
Vragen
Heeft u nog vragen, stel ze gerust aan uw behandelend arts of huisarts. Bij dringende vragen of problemen vóór uw behandeling kunt u zich het beste wenden tot de afdeling waar de behandeling plaats moet vinden. Wanneer zich thuis na de operatie problemen voordoen, neem dan contact op met de huisarts of het ziekenhuis.
Tot slot
Bent u van mening dat bepaalde informatie ontbreekt of onduidelijk is, dan vernemen wij dat graag van u.