Het sleutelbeen is het bot tussen uw schouder en uw borstbeen. Een gebroken sleutelbeen heet ook een claviculafractuur. Als behandeling moet u rust nemen en oefeningen doen. U krijgt ook een sling. Een sling is een soort mitella.
Deze informatie gaat over de behandeling van een breuk in het middelste deel van het sleutelbeen (clavicula). Het is goed u te realiseren dat voor u persoonlijk de situatie anders kan zijn dan beschreven.
De onderstaande informatie is ontwikkeld voor de Virtual Fracture Care App, een samenwerking van de Nederlandse Vereniging voor Traumachirurgie en Zorg Bij Jou.
Samenvatting
| U heeft een breuk in het middelste deel van uw sleutelbeen.Een gebroken sleutelbeen herstelt meestal goed.Een afspraak op de polikliniek is meestal niet nodig.U mag 3 weken een sling dragen. Een sling is een soort mitella. Hieronder vindt u een filmpje hoe u de sling opnieuw moet aandoen. Beweeg de eerste 3 weken de arm niet boven de schouder. Begin zo snel mogelijk met oefenen. Uw schouder wordt dan niet stijf. De oefeningen staan hieronder. Heeft u tijdens het herstel vragen of klachten? Neem dan contact op met het ziekenhuis waar u onder behandeling bent. |
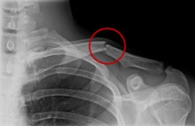
Diagnose en onderzoek
Omdat het sleutelbeen door zijn ligging zo makkelijk is te onderzoeken, kan de arts na zijn onderzoek meestal met zekerheid vaststellen of uw sleutelbeen gebroken is. Vaak zal de arts er voor kiezen aanvullend een röntgenfoto te maken.

De behandeling
Uw breuk zit in het middelste gedeelte van het sleutelbeen. Deze breuk komt vaak voor en herstelt meestal goed. Als behandeling moet u rust nemen en oefeningen doen. U krijgt ook een sling. Door oefeningen te doen heeft u minder pijn en herstelt uw schouder het snelst.
Slechts in bepaalde gevallen is er een reden voor een operatie. Een harde reden voor een operatie kan zijn dat een botstuk door de huid dreigt heen te gaan. Ook kan een sterk afwijkende stand een reden zijn voor een operatie. De nadelen van een operatie (ontsierend litteken, infectiekans, uitbreken van fixatiemateriaal) wegen echter vaak niet op tegen de voordelen (standscorrectie). Uw behandelend arts zal samen met u een afweging kunnen maken hoe dat in uw specifieke situatie is. Bij sleutelbeen breuken waarbij de breuk helemaal aan de zijkant ligt, zal er wel sneller naar een operatieve behandeling worden geneigd. Indien er voor een operatie wordt gekozen, zal er meestal gebruik worden gemaakt van een plaatje met schroeven.

Schema zonder operatie:
| Week 1 |
| Draag de sling als u uw schouder rust wilt geven.Doe oefeningen. Stop als het te veel pijn doet. |
| Tussen week 1 en 3 |
| Laat de sling zoveel mogelijk af.Doe oefeningen. Stop als het te veel pijn doet. |
| Tussen week 3 en 6 |
| Laat de sling af.Doe oefeningen. Stop als het te veel pijn doet. |
| Vanaf week 6 |
| Gebruik de schouder zo normaal mogelijk. Stop als het pijn doet.Blijf oefeningen doen tot de schouder helemaal hersteld is.U mag weer sporten. U kunt nog ongeveer 3 maanden klachten hebben. |
Instructies
Voor een goede genezing zijn de volgende instructies belangrijk:
- Als u een sling heeft gekregen, mag u deze 3 weken dragen om uw sleutelbeen rust te geven. Als u gaat slapen, mag u de sling afdoen.
- Gebruik uw arm en schouder zo normaal mogelijk. Stop als het te veel pijn doet.
- Begin meteen met oefenen. Zo worden uw schouder en arm niet stijf. Stop als het pijn doet. De oefeningen staan hieronder.
- De eerste 6 weken mag u niet sporten. Hierna kunt u steeds meer gaan sporten, als het niet te veel pijn doet. Het kan zijn dat sporten pas na 3 maanden goed lukt.
- Als u na 6 weken uw schouder niet goed kunt gebruiken, kunt u hulp van een fysiotherapeut vragen
- Heeft u pijn? Gebruik dan paracetamol. Wacht niet met paracetamol nemen totdat u te veel pijn heeft. Neem het altijd verspreid over de dag in. U kunt maximaal 4x per dag 2 tabletten van 500 mg paracetamol innemen op vaste tijden.
Herstel
- Een controleafspraak op de polikliniek is vaak niet nodig. Als u veel klachten of pijn heeft en die pijn na 3 weken niet minder wordt, neem dan contact op met het ziekenhuis waar u onder behandeling bent. Als een controle dan toch nodig is, wordt een afspraak gemaakt.
- Meestal bent u na enkele weken hersteld. Het kan tot 6 weken duren voordat u uw schouder en arm weer helemaal kunt gebruiken.
- Nadat uw schouder hersteld is, kan er een soms een bobbel te zien blijven. Dit is niet erg.
Oefeningen
Om te zorgen dat uw schouder niet stijf wordt en u geen kracht verliest, moet u oefeningen doen. De oefeningen staan hieronder.
- In de eerste week mag u de sling dragen om uw schouder rust te geven. Probeer de sling steeds vaker af te laten.
- Beweeg in de eerste 3 weken de arm niet boven de schouder.
- Ga pas verder naar de volgende stap in de oefeningen als u de eerdere oefeningen kunt uitvoeren.
- Blijf de eerdere oefeningen steeds herhalen.
Belangrijk!
Het is niet erg als u moe bent of spierpijn heeft. Overdrijf niet. Stop met oefenen als het pijn doet. Probeer het later nog een keer.
Week 1
Doe de oefeningen. Stop als het te veel pijn doet. U mag de sling dragen om uw schouder rust te geven.
- Beweeg de vingers en hand door een vuist te maken. Doe dit 10 tot 15 keer per dag.
- Strek en buig uw elleboog. Doe dit 10 tot 15 keer per dag.
- Druk uw onderarm tegen de buik. Houd dit een aantal seconden vol en laat los.
- Druk uw bovenarm tegen de zijkant van uw borstkas. Let erop dat uw onderarm tegen uw buik aanligt. Houd dit een aantal seconden vol en laat los.
- Ga iets gebukt voorover staan en maak kleine cirkelbewegingen met de elleboog. Dit heet een pendelbeweging. Doe dit 10 tot 15 keer achter elkaar, 3 tot 4 keer per dag.

Week 2
- Doe de volgende oefeningen 10 tot 15 keer achter elkaar, 3 tot 4 keer per dag.
- Druk uw gestrekte arm tegen de zijkant van uw lichaam. Houd dit een aantal seconden vol en laat los. Zie foto 2.
- Ga iets gebukt voorover staan en laat uw arm gestrekt naar beneden hangen. Maak linksom en rechtsom kleine cirkelbewegingen. Zie foto 3.
- Buig en strek de elleboog, terwijl u gebukt voorover staat. Zie foto 4.

Week 3 en 4
Doe de volgende oefeningen 10 tot 15 keer achter elkaar, 3 tot 4 keer per dag.
- Loop met de hand over uw borstkas naar de gezonde schouder en probeer het schouderblad aan te tikken. Ondersteun uw elleboog met uw andere hand. Zie foto 5.
- Plaats uw handen tegen elkaar voor uw borstkas en zet ze tegen elkaar. U voelt de spieren aan de voorkant van uw schouder aanspannen. Zie foto 6.

- Strek uw arm. Breng deze naar voren en til omhoog tot schouderhoogte. Zie foto 7. Probeer de arm hier even vast te houden.
- Til uw gestrekte arm opzij tot aan schouderhoogte. Maak eventueel gebruik van een muur voor wat steun. Zie foto 8. Probeer de arm hier even vast te houden.
- Beweeg de arm rustig met een gestrekte of gebogen elleboog naar achteren. Zie foto 9.

Week 5 en 6
Doe de volgende oefeningen 10 tot 15 keer achter elkaar, 3 tot 4 keer per dag. Wissel de oefeningen af. Doe de oefeningen in een rustig tempo.
- Herhaal de oefeningen uit week 3 waarbij u de arm nu rustig boven het niveau van de schouder tilt. U mag uw arm ver bewegen, als het niet te veel pijn doet.
Vanaf week 6
- U mag de schouder weer normaal gebruiken. Herhaal de oefeningen van de vorige weken tot uw schouder weer helemaal goed voelt.
- Zwemmen is een goede oefening voor uw schouder.
- U kunt hulp vragen van een fysiotherapeut. Dit kunt u zelf regelen, met of zonder verwijzing van uw huisarts.