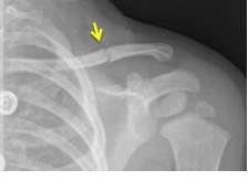
Het sleutelbeen is het bot tussen uw schouder en uw borstbeen. Een gebroken sleutelbeen heet ook een claviculafractuur. De behandeling is het dragen van een sling. Een sling is een soort mitella.
De onderstaande informatie is ontwikkeld voor de Virtual Fracture Care App, een samenwerking van de Nederlandse Vereniging voor Traumachirurgie en Zorg Bij Jou.

Samenvatting:
De behandeling
Een gebroken sleutelbeen komt vaak voor bij kinderen. De behandeling bestaat uit het dragen van een sling. Bij kleine kinderen lukt het vaak niet om hen een sling te laten dragen. Dit is niet erg. Een gebroken sleutelbeen herstelt bijna altijd volledig.
| Tot 4 weken |
| Tussen week 4 en 6 |
| Na 6 weken |
Instructies
Volg de volgende instructies voor een zo goed mogelijk herstel.
- De sling houdt de arm een aantal dagen tot weken in een prettige positie.
- Uw kind mag de sling afdoen als de schouder niet te veel pijn meer doet. Tijdens het slapen mag de sling af. Gebruik de sling maximaal 4 weken.
- Laat uw kind de schouder en arm zo veel mogelijk bewegen. De schouder en arm worden dan niet stijf. Stop als het pijn doet.
- Na 6 weken mag uw kind weer sporten. Stop als het pijn doet.
- Als uw kind pijn heeft, mag u paracetamol geven. Wacht niet met paracetamol geven totdat uw kind te veel pijn heeft.
Herstel
Volg de volgende instructies voor een zo goed mogelijk herstel.
- Een controleafspraak op de polikliniek is vaak niet nodig. Als uw kind veel pijn heeft en die pijn niet minder wordt, neem dan contact op met het ziekenhuis waar uw kind onder behandeling is. Als een controle dan toch nodig is, maken we een afspraak.
- Meestal is de breuk na enkele weken hersteld.
- Soms is er een bobbel te zien bij het sleutelbeen. Dit is niet erg.
- Als uw kind na 6 weken nog veel last heeft van de schouder, kunt u hulp van een fysiotherapeut vragen.
Sling aanleggen dubble loop:
Sling aanleggen enkel loop:
Oefeningen
Probeer uw kind de arm te laten bewegen. Stop als het te veel pijn doet. Speciale oefeningen zijn niet nodig.