Gebroken rugwervel – breuk van de wervelkolom
Inleiding
Deze folder geeft u algemene informatie over de behandeling van een gebroken rugwervel van de borst- en lendewervels. Het is goed u te realiseren dat voor u persoonlijk de situatie anders kan zijn dan beschreven.
De wervelkolom
De wervelkolom loopt van het hoofd tot de stuit en bestaat uit zeven halswervels ter hoogte van de nek, twaalf borstwervels ter hoogte van de borstkas en vijf lendewervels ter hoogte van de onderrug. Eén afzonderlijke wervel bestaat uit een stevig blokvormig wervellichaam en daarachter een wervelboog met doornvormige uitsteeksels waar spieren en banden aan vast zitten. De wervelkolom ondersteunt het gewicht van het lichaam en maakt bewegingen (buigen en draaien) van het lichaam mogelijk. Door de wervelbogen van de wervelkolom loopt het ruggenmerg, welke bestaat uit de zenuwen die van de hersenen naar onder andere de spieren en huid lopen.
De breuk
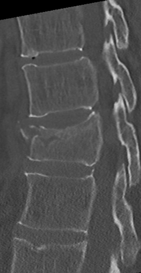
Door een val of door een extreme buiging van de romp kan een breuk in 1 of meerdere rugwervels ontstaan. Afhankelijk van de plaats en het type breuk is de breuk stabiel of instabiel. Bij een stabiele breuk is alleen het wervellichaam gebroken en is het ruggenmerg niet in het gevaar. Bij een instabiele breuk is er wel kans dat het ruggenmerg beschadigd raakt of dat de breuk verder inzakt en daarmee de vorm van de wervelkolom verder verandert. Een stabiele breuk ontstaat meestal na een eenvoudige val, terwijl een instabiele breuk meestal na een val van hoogte of een verkeersongeval ontstaat. Om te bepalen of een breuk stabiel is, is er naast een Röntgen foto vaak een CT scan nodig. Ook wordt er vaak neurologisch onderzoek gedaan.
Afhankelijk van waar de breuk zich precies bevindt en of de breuk stabiel of instabiel is, zal uw behandeling bepaald worden. Stabiele breuken worden vaak met tijdelijke bedrust en later fysiotherapie behandeld, al dan niet in combinatie met een ondersteunend corset.
Indien de breuk instabiel is, is de kans groot dat u geopereerd moet worden. Afhankelijk van de toestand van het ruggenmerg en de bijkomstige neurologische uitval, zult u direct of na enkele dagen geopereerd moeten worden. Tot aan de operatie zult u platte bedrust krijgen. U zult door de verpleging als een ‘boomstam’ gedraaid worden in bed.

Corset
Het corset is een soort ondersteunende brace aan de buitenkant van uw lichaam die niet zozeer de breuk stabiliseert, maar er voor zorgt dat uw lichaam goed rechtop blijft tijdens het staan, zitten en lopen. Het corset ondersteunt uw lichaam op meerdere punten. Op deze manier ondersteunt u uw rugspieren om hiermee een gesterkte wervelkolom te houden, zodat er minder druk op de gebroken wervels komt en deze kunnen genezen. Indien u plat ligt, hoeft u het corset niet te dragen, omdat deze houding niet belastend is voor de rug.
Uw traumachirurg zal bepalen of u een corset nodig heeft en hoe lang. Meestal is dit 6 tot 12 weken. Daarna kunt u het gebruik van het corset afbouwen.
Operatie
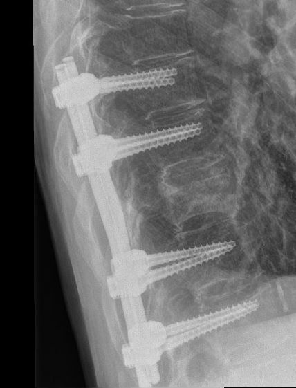
Indien u geopereerd moet worden, zijn er meerdere opties. Meestal zal er gebruik worden gemaakt van schroeven en staven aan de achterzijde van de wervelkolom om de wervels boven en onder de breuk aan elkaar vast te zetten en daarmee de breuk te stabiliseren. Soms is het noodzakelijk om aanvullend nog een stabiliserende operatie aan de voorkant te verrichten.
Zoals elke operatie, heeft ook een operatie aan de rug kans op complicaties, zoals ontstekingen van de wond, beschadiging van het ruggenmerg of zenuwen, of het alsnog inzakken van de breuk na de operatie.
Na de operatie krijgt u soms nog enkele dagen bedrust en zult u samen met de fysiotherapie het mobiliseren hervatten. Uw chirurg bepaalt of u na de operatie nog aanvullend een corset moet gebruiken.

Wat u verder nog moet weten
U moet zich realiseren dat het een hele tijd kan duren voordat uw rug weer pijnvrij is en u deze weer normaal kunt gebruiken. Dit geldt voor zowel operatief behandelde breuken, maar ook voor breuken die met een corset zijn behandeld. Hou er rekening mee dat de rug nog lange tijd gevoelig kan zijn bij veel lopen, zitten of staan. Zeker bij belastende bewegingen zoals tillen kan de rug zelfs nog veel langer pijnlijk blijven, soms wel tot een jaar na het ongeval. In enkele gevallen wordt door de veranderde vorm of door stijfheid de rug zelfs nooit meer helemaal 100%.
Vragen
Heeft u nog vragen, stel ze gerust aan uw behandelend traumachirurg of huisarts. Bij dringende vragen of problemen vóór uw behandeling kunt u zich het beste wenden tot de afdeling waar de behandeling plaats moet vinden. Wanneer zich thuis na de operatie problemen voordoen, neem dan contact op met de huisarts of het ziekenhuis.
Tot slot
Bent u van mening dat bepaalde informatie ontbreekt of onduidelijk is, dan vernemen wij dat graag van u.