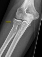
Een breuk in de radiuskop of radiushals komt vaak voor. De radiuskop of radiushals zit bij de elleboog, in het spaakbeen. Het spaakbeen is het bot tussen de pols en de elleboog.
Bij eenvoudige breuken krijgt u als behandeling meestal een drukverband of een compressiekous of een dubbele compressiekous. U krijgt ook een sling. Een sling is een soort mitella.
Bij complexere breuken, waarbij bijvoorbeeld sprake is van een grote verplaatsing in de breuk of bijkomend letsel, wordt er soms gekozen voor gips en eventueel een operatie. In die gevallen is de onderstaande tekst niet van toepassing.
De onderstaande informatie is ontwikkeld voor de Virtual Fracture Care App, een samenwerking van de Nederlandse Vereniging voor Traumachirurgie en Zorg Bij Jou.

Samenvatting
- U heeft een kleine breuk in het spaakbeen ter hoogte van de elleboog.
- Deze breuk herstelt meestal goed.
- Een afspraak op de polikliniek is meestal niet nodig.
- Verwijderen na maximaal 1 week het drukverband en de sling.
- Begin met oefenen zodra uw het drukverband heeft verwijderd. Uw elleboog wordt dan niet stijf. De oefeningen staan hieronder.
- Heeft u tijdens het herstel vragen of klachten? Neem dan contact op met het ziekenhuis waar u onder behandeling bent.
De behandeling
Een gebroken radiuskop of radiushals komt vaak voor. U krijgt een drukverband of een compressiekous of een dubbele compressiekous. U krijgt ook een sling. Een sling is een soort mitella.
| Week 1 |
| Tussen week 1 en 4 |
| Tussen week 4 en 6 |
| Na 6 weken |
Instructies
Volg de volgende instructies voor een zo goed mogelijk herstel.
- De sling en het drukverband, de compressiekous of de dubbele compressiekous houden uw arm in een prettige positie.
- Verwijder de sling, het drukverband, de compressiekous of dubbele compressiekous zodra uw elleboog niet te veel pijn meer doet. Meestal is dit na 1 week. U mag het drukverband, de compressiekous of de dubbele compressiekous eventueel ook nog in week 2 gebruiken.
- U kunt het drukverband zelf vervangen. U kunt dit kopen bij de drogist. Hieronder staat een link naar een filmpje hoe u het drukverband kunt vervangen.
- Begin zo snel mogelijk uw elleboog te buigen en strekken. Uw elleboog wordt dan niet dik. Stop met oefenen als het dit te veel pijn doet.De oefeningen staan hieronder.
- Als u pijn heeft, kunt u paracetamol gebruiken. Gebruik maximaal 4 keer per dag 2 tabletten paracetamol van 500 mg. Doe dit maximaal 7 dagen.
Herstel
- Een controleafspraak op de polikliniek is vaak niet nodig. Als u veel pijn heeft en die pijn niet minder wordt, neem dan contact op met het ziekenhuis waar u onder behandeling bent. Als een controle dan toch nodig is, wordt een afspraak gemaakt.
- Meestal kunt u uw elleboog na 4 tot 6 weken weer helemaal strekken. Als u dat nog niet kunt na 6 weken, herstelt uw elleboog binnen enkele maanden.
- Hieronder staan oefeningen om beter te herstellen. Als u na 6 weken nog veel last heeft van de elleboog, kunt u hulp van een fysiotherapeut vragen.
Vervangen drukverband
Oefeningen
Om te zorgen dat uw elleboog niet stijf wordt en u geen kracht verliest, moet u oefeningen doen.
Doe de oefeningen minstens 3 keer per dag.
- Doe elke oefening 10 tot 15 keer.
- Beweeg uw schouder niet mee tijdens de oefeningen.
- U kunt eventueel in warm water oefenen.
- Als het goed gaat, kunt u de oefeningen doen met een flesje water of een gewichtje in uw hand.
Buigen en strekken van de elleboog
Bij deze oefening buigt en strekt u de elleboog. U kunt met deze oefening na 1 week beginnen, als het niet te veel pijn doet.
Draaien van de elleboog
Bij deze oefening draait u de elleboog. U kunt met deze oefening na 4 weken beginnen, als het niet te veel pijn doet.