Cruris fractuur – Gebroken onderbeen
Inleiding
Deze folder geeft u algemene informatie over de behandeling van een gebroken onderbeen. Het is goed u te realiseren dat voor u persoonlijk de situatie anders kan zijn dan beschreven.
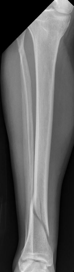
Het onderbeen
Het onderbeen bestaat uit twee lange botten; het scheenbeen en het kuitbeen. Het scheenbeen vormt samen met het bovenbeen het kniegewricht en het scheenbeen en het kuitbeen samen vormen met de voet het enkelgewricht. Het scheenbeen is vele malen dikker en sterker dan het kuitbeen en draagt veruit het meeste gewicht van het lichaam.
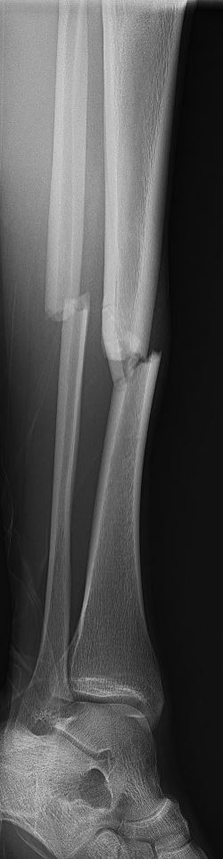
De breuk
Omdat het scheenbeen een erg sterk bot is, is er vaak veel energie nodig om het onderbeen te breken. Vaak gaat het om een verkeersongeval, een val van hoogte, maar ook soms een harde directe trap tegen het onderbeen. Bij een breuk van het onderbeen is er in principe sprake van een breuk van zowel het scheenbeen als het kuitbeen. Soms is alleen het scheenbeen gebroken. Indien alleen het kuitbeen gebroken is, spreken we niet van een onderbeenbreuk, maar meestal is er dan sprake van een gebroken enkel of een geïsoleerde kuitbeenbreuk. Omdat bij een onderbeenbreuk meestal beide botten gebroken zijn, is er vaak sprake van instabiliteit van het onderbeen. Behalve een letsel van het bot is er ook vaak letsel van de zogeheten weke delen, zoals huid, pezen, spieren en eventueel zelfs bloedvaten of zenuwen. Indien er sprake is van een ernstig letsel van de weke delen, kan dit leiden tot een open breuk (het bot komt dan in contact met buitenlucht) of zelfs uitval van de zenuwen en/of bloedvaten.

Behandeling
Omdat er meestal sprake is van instabiliteit en verplaatsing van de breukdelen, is een operatie bij volwassenen meestal noodzakelijk. Afhankelijk van de stand van de breuk en de toestand van de weke delen, kan uw traumachirurg besluiten dat dit met spoed moet gebeuren, of dat dit enige tijd kan worden uitgesteld en uw onderbeen tot aan de operatie tijdelijk wordt gestabiliseerd in gips (vanaf het bovenbeen tot en met de enkel).
In sommige uitzonderlijke gevallen waarbij het onderbeen niet ernstig instabiel is en de botten ondanks de breuk(en) nog netjes in lijn staan, kan er eventueel besloten worden uw been in gips uit te behandelen zonder operatie. U zult dan echter wel lange tijd in gips moeten worden behandeld en het duurt dan vaak wel wat langer voordat de breuk sterk genoeg is om uw gewicht weer te dragen. Omdat de knie bij een gipsbehandeling ook langdurig moet worden meegegipst, wordt deze vaak ook stijf bij een lange gipsbehandeling. Mede daardoor heeft een operatie meestal de voorkeur.
Operatie
In het geval dat zowel uw scheenbeen als uw kuitbeen gebroken zijn, is het meestal voldoende om alleen uw scheenbeen vast te zetten omdat dit het sterkste bot is. Of uw kuitbeen ook moet worden vastgezet is afhankelijk van de hoogte van de breuk en de stand van de bijkomstige kuitbeenbreuk, maar dit is vaak niet nodig.
Indien u geopereerd wordt, zal de traumachirurg proberen de breukdelen van het scheenbeen weer in de juiste vorm en richting aan elkaar te zetten. Hiervoor heeft uw traumachirurg verschillende opties. Welke operatie u krijgt, is afhankelijk van de eigenschappen van de breuk, de toestand van de huid en de spieren, de aanwezigheid van eventuele andere ernstige letsels en de voorkeur van uw chirurg.
Veel gebruikt is een pen in de mergholte van het bot, die vlak onder de knie kan worden ingebracht. De pen wordt vervolgens met dwarse schroefjes aan het begin en het einde van de pen vastgezet. Een andere optie is het gebruik van platen en schroeven om de verschillende breukdelen stevig aan elkaar vast te zetten. Voor het plaatsen van een plaat is wel een grotere snede nodig dan voor een pen. Indien er sprake is van een ernstig weke delen letsel en zeker als er meerdere ernstige letsels tegelijk aanwezig zijn, kan uw chirurg er ook voor kiezen om de breuk, al dan niet tijdelijk, van buitenaf vast te zetten met een extern fixatie mechanisme (de zogenaamde ‘externe fixateur’).
Zoals elke operatie, heeft ook een operatie voor een gebroken onderbeen kans op complicaties, zoals nabloedingen en ontstekingen van de wond, wondgenezingsstoornissen, vaat- en zenuwletsel en het uitbreken van het fixatie materiaal en het niet goed willen vastgroeien van de breuk.

Na de behandeling
Na de operatie bepaalt uw traumachirurg of u het been direct weer mag belasten of niet. Indien u niet direct mag belasten, dan mag dat meestal wel na 6 tot maximaal 12 weken. Wanneer u weer mag gaan belasten is ondermeer afhankelijk van het soort breuk en het gebruikte fixatie materiaal. Indien u nog niet meteen mag belasten, dan mag u meestal wel uw knie en enkel oefenen en proberen met krukken te gaan lopen.
Wat u verder nog moet weten
Ook als u direct mag gaan belasten, kan het nog enige tijd duren voordat het volledig belasten ook daadwerkelijk goed gaat. Vaak hebben patiënten in het begin toch krukken nodig om het been enigszins te ontzien. Volledig normaal en pijnvrij gebruik van het been kan al gauw 3-6 maanden of soms nog langer duren. Vaak is hierbij nabehandeling met behulp van een fysiotherapeut nodig.
Vragen
Heeft u nog vragen, stel ze gerust aan uw behandelend arts of huisarts. Bij dringende vragen of problemen vóór uw behandeling kunt u zich het beste wenden tot de afdeling waar de behandeling plaats moet vinden. Wanneer zich thuis na de operatie problemen voordoen, neem dan contact op met de huisarts of het ziekenhuis.
Tot slot
Bent u van mening dat bepaalde informatie ontbreekt of onduidelijk is, dan vernemen wij dat graag van u.