Patella fractuur – gebroken knieschijf
Inleiding
Deze folder geeft u algemene informatie over de behandeling van een gebroken knieschijf, de zogenaamde ‘patella’ breuk. Het is goed u te realiseren dat voor u persoonlijk de situatie anders kan zijn dan beschreven.
De knieschijf
De knieschijf is een onderdeel van het strekmechanisme van de knie. De knieschijf zit in de strekpees van de quadricepsspieren, de dijbeen spieren aan de voorkant. Wanneer de quadricepsspieren aanspannen, dan wordt de kracht via de pees en de knieschijf overgebracht naar het onderbeen, waarmee de knie strekt. De achterkant van de knieschijf loopt in een geul over de het dijbeen ter hoogte van de knie en vormt een soort gewricht met het dijbeen. Een geultje in het dijbeen ter hoogte van de knie zorgt er voor dat de knieschijf rechtdoor blijft glijden bij het buigen en strekken van de knie.
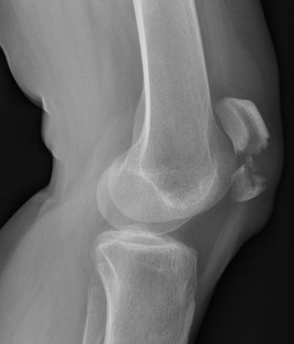
De breuk
Een breuk van de knieschijf ontstaat meestal door een val direct op de knieschijf of door een harde klap tegen de knieschijf, bijvoorbeeld ten gevolge van een verkeersongeval. Bij een breuk van de knieschijf is er vaak direct pijn en zwelling ter hoogte van de knie. Daarnaast is er vaak een onvermogen om de knie te strekken, omdat de pees van de quadriceps niet meer in verbinding staat met het onderbeen. Een Röntgenfoto kan de diagnose bevestigen.

Behandeling
Meestal als de knieschijf breekt gaan de breukdelen uit elkaar staan en zal daarmee het strekmechanisme van de knie uitvallen. Bovendien zal de achterkant van de knieschijf niet meer egaal zijn en daarmee het gewrichtsoppervlak met het dijbeen verstoord zijn. In dat geval moet dit operatief hersteld worden.
Indien de knieschijf alleen gescheurd is en de breukdelen nog wel aan elkaar vastzitten en daarmee het strekmechanisme dus eigenlijk niet onderbroken is, kan de knieschijfbreuk met gips worden uitbehandeld.
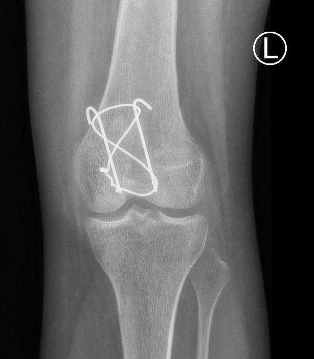
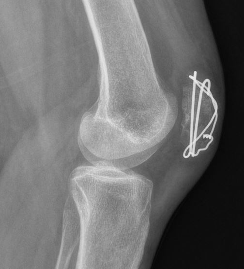
Operatie
De meeste breuken van de knieschijf zullen operatief vastgezet moeten worden met een zogenaamde ‘Zuggertung’, bestaande uit enkele dunne metalen pinnetjes en een metalen vlechtdraad om de knieschijf heen. Soms worden er ook schroeven gebruikt. Het materiaal wordt geplaatst via een snede aan de voorkant over de knieschijf.
Zoals elke operatie, heeft ook een operatie voor een gebroken knieschijf kans op complicaties, zoals nabloedingen en ontstekingen van de wond, doofheid van de omliggende huid, het loslaten van het fixatie materiaal en het niet goed willen vastgroeien van de breuk. Ook hebben patiënten na een operatie nogal eens last van irritatie van het fixatiemateriaal, omdat het materiaal hier vlak onder de huid ligt. Indien de breuk weer op volledige sterkte is (meestal pas na circa 9-12 maanden) en het fixatiemateriaal geen nut meer heeft, kunt u overwegen om het materiaal weer operatief te laten verwijderen indien u hier klachten van hebt. Indien u geen klachten hebt, kunt u het fixatiemateriaal veilig laten zitten.

Na de behandeling
Uw traumachirurg zal na de operatie bepalen of u een drukverband, een afneembare brace of gips krijgt. Meestal zult u direct na de operatie zonder brace of gips niet mogen belasten omdat er anders teveel krachten op de knieschijf komen bij het belasten. Indien u een alleen een drukverband krijgt, kunt u wel alvast gaan starten met buigen en strekken van de knie op geleide van de pijn.
Hoeveel weken rust?
Hoe lang u na de operatie rust moet houden, is afhankelijk van het soort breuk en hoe stevig de chirurg de breukdelen weer aan elkaar heeft kunnen zetten. Meestal zal het zo zijn dat u tot 6 weken na de operatie uw been niet mag belasten zonder brace of gips, maar wel mag bewegen/oefenen om het gewricht soepel te houden.
Verdere adviezen
Of u de knie na de operatie ook kunt en mag oefenen, is afhankelijk of u wel of geen gips hebt. Indien toegestaan, is bewegen na de operatie goed, maar het belangrijkste is dat u daarbij naar uw lichaam ‘luistert’. Als het u geen pijn veroorzaakt mag u in ieder geval met heup, enkel en tenen oefenen wat de pijn toelaat. Het is goed in elk geval ook de enkel voldoende in beweging te houden door de tenen goed richting de neus te trekken, omdat de enkel anders stijf kan worden.
Wat u verder nog moet weten
U moet er rekening mee houden dat u zeker meer dan 6 weken nodig heeft voordat u uw been weer redelijk goed kunt belasten. Ook als u direct na de operatie al in gips of brace mag gaan belasten, levert u veel in aan spierkracht en souplesse. Pas als de breuk na een week of 6 enigszins vast zit, kunt u pas de kracht en belasting voorzichtig gaan uitbreiden. Volledig normaal en pijnvrij gebruik van het been zal meestal pas na 3-6 maanden worden bereikt. Soms kan nabehandeling met behulp van een fysiotherapeut nodig zijn, zeker als er stijfheid is van de knie.
Vragen
Heeft u nog vragen, stel ze gerust aan uw behandelend arts of huisarts. Bij dringende vragen of problemen vóór uw behandeling kunt u zich het beste wenden tot de afdeling waar de behandeling plaats moet vinden. Wanneer zich thuis na de operatie problemen voordoen, neem dan contact op met de huisarts of het ziekenhuis.
Tot slot
Bent u van mening dat bepaalde informatie ontbreekt of onduidelijk is, dan vernemen wij dat graag van u.