Gebroken enkel – enkel fractuur
Inleiding
Deze folder geeft u een globaal overzicht van de klachten en de behandeling van een gebroken enkel. Het is goed u te realiseren dat voor u persoonlijk de situatie anders kan zijn dan beschreven.
Een gebroken enkel
Een enkel kan op meerdere plaatsen breken. De enkel kan zowel aan de buitenkant (onderste deel van het kuitbeen) als aan de binnenkant breken (deel van het scheenbeen) en in enkele gevallen ook aan de achterkant (deel van het scheenbeen). Ook kunnen deze plaatsen gecombineerd voorkomen, al dan niet in combinatie met een letsel van de enkelbanden. Het meest voorkomend is de breuk aan de buitenkant (van het kuitbeen), dat vaak ontstaat ten gevolge van een ernstige verzwikking, verstappen of een val.

De klachten.
In tegenstelling tot de meeste enkelbandletsels, kan een patiënt met een gebroken enkel meestal er niet meer op staan of lopen. Tevens is er vaak sprake van een forse bloeduitstorting en veel pijn bij het bewegen van de enkel. Daarnaast is er sprake van drukpijn op het gebroken bot.
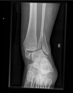
Voor het aantonen van de breuk dient er een Röntgenfoto te worden gemaakt. Hierop kan ook worden gezien op welke plaats(en) het bot gebroken is.
Behandeling
De behandeling van een gebroken enkel is geheel afhankelijk van de exacte plaats van de breuk en de stand van de breuk.
Gips: Veel gebroken enkels kunnen worden behandeld met gips. Vaak is de duur van de gipsbehandeling zo’n 6 weken. Indien de breuk niet zo ernstig is, kan bij een kleine breuk er korter gips worden gegeven. Of je op het gips mag lopen, hangt ook van het type breuk af. Hier kan uw traumachirurg u meer informatie over geven
Operatie: Als de enkel op meerdere plaatsen is gebroken of wanneer de breuk is verplaatst en de ‘vork’ van de enkel niet meer in lijn staat, is er meestal een reden om de breuk te opereren. Maar zelden hoeft dat direct/acuut te gebeuren. “Te vroeg” opereren als er veel zwelling is, kan de kans op wondgenezings problemen doen toenemen. Vaak zal de traumachirurg er voor kiezen om uw enkel tijdelijk in te gipsen en de zwelling af te laten nemen, om u vervolgens binnen 1 tot 2 wkn in te plannen voor de ingreep. Technisch zijn er meerdere operatie mogelijkheden, maar het meest wordt er gebruik gemaakt van een plaat met schroeven. Soms (en met name als de huid en omliggende spieren ook ernstig beschadigd zijn) wordt er gebruik gemaakt van externe fixatie.
Herstel
Het herstel zal erg afhankelijk zijn van het soort breuk. Simpele breuken die met gips worden behandeld, zijn meestal na circa 6 weken weer vastgegroeid. Daarna zal er, al dan niet met fysiotherapie, geoefend moeten worden in het lopen. Het kan 3-6 maanden duren voordat de enkel weer is zoals voor het ongeluk. Als er sprake is van een ernstige breuk en er besloten is tot een operatie, kan het herstel nog langer op zich laten wachten. Daarnaast is er altijd een kans dat de enkel nooit meer wordt zoals deze was voor het ongeluk, zeker als er ook sprake is van kraakbeenletsel.
Vragen
Heeft u nog vragen, stel ze gerust aan uw behandelend traumachirurg of huisarts. Bij dringende vragen of problemen vóór uw behandeling kunt u zich het beste wenden tot de afdeling waar de behandeling plaats moet vinden. Wanneer zich thuis na de operatie problemen voordoen, neem dan contact op met de huisarts of het ziekenhuis.
Tot slot
Bent u van mening dat bepaalde informatie ontbreekt of onduidelijk is, dan vernemen wij dat graag van u.