Gebroken dijbeen ter hoogte van de schacht
Inleiding
Deze folder geeft u algemene informatie over de behandeling van een breuk ter hoogte van de schacht van het dijbeen. Het is goed u te realiseren dat voor u persoonlijk de situatie anders kan zijn dan beschreven.
Het dijbeen
Het dijbeen (het ‘femur’) is het bot van het bovenbeen, van de heup tot aan de knie. Het is het langste bot in het menselijk lichaam. Ter hoogte van de heup heeft het dijbeen een bolvormige heupkop, waarmee het bovenbeen een gewricht vormt met de heupkom. Onder de kop van het dijbeen begint de schacht die doorloopt tot aan de knie.
De breuk
Omdat het dijbeen een zeer sterk bot is, komt een breuk hiervan meestal door een ongeluk waarbij er veel energie is vrijgekomen. Denk hierbij bijvoorbeeld aan een ongeval met een gemotoriseerd voertuig of een val van hoogte. Wanneer met de vorderende leeftijd de botten wat brozer worden (osteoporose), kan het dijbeen overigens wel makkelijker breken. De klachten van een gebroken dijbeen kenmerken zich door veel pijn in het bovenbeen met een onmogelijkheid het been te bewegen en te belasten. Vaak valt het ook op dat het been in een andere stand ligt. Een zwelling van het bovenbeen is niet altijd direct zichtbaar. Een Röntgenfoto kan de aanwezigheid en het beloop van de breuk aantonen.
Behalve een letsel van het bot is er ook vaak letsel van de zogeheten weke delen, zoals huid, pezen, spieren en eventueel zelfs vaten en zenuwen. Indien er sprake is van een ernstig letsel van de weke delen, kan dit leiden tot een open breuk (het bot komt dan in contact met buitenlucht) of zelfs uitval van de zenuwen en/of bloedvaten.

Behandeling
Een gebroken dijbeen moet bij volwassenen in principe altijd geopereerd worden, enkele uitzonderingen daargelaten. Omdat de doorbloeding van het dijbeen zeer sterk is, kunnen patiënten met een dijbeenbreuk relatief veel inwendig bloedverlies hebben. Meestal is er dan ook een reden om een dijbeenbreuk snel te opereren.
Operatie
Indien u geopereerd wordt, zal de traumachirurg proberen de breukdelen van de schacht weer in de juiste vorm en richting aan elkaar te zetten. Hiervoor heeft uw traumachirurg verschillende opties. Welke operatie u krijgt, is afhankelijk van de eigenschappen van de breuk, de toestand van de huid en de spieren, de aanwezigheid van eventuele andere ernstige letsels en de voorkeur van uw chirurg.
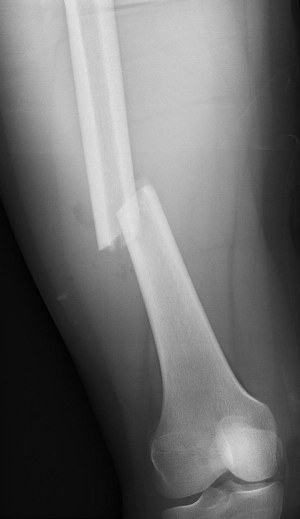
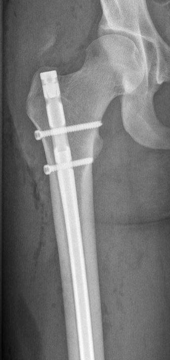
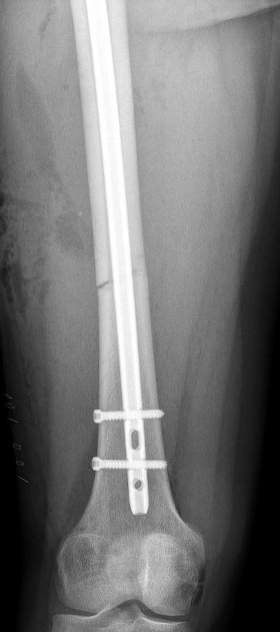
Veel gebruikt is een pen in de mergholte van het bot, die via de heup of via de knie kan worden ingebracht. De pen wordt vervolgens met dwarse schroefjes aan het begin en het einde van de pen vastgezet. Een andere optie is het gebruik van platen en schroeven om de verschillende breukdelen stevig aan elkaar vast te zetten. Voor het plaatsen van een plaat is wel een grotere snede nodig dan voor een pen. Indien er sprake is van een ernstig weke delen letsel en zeker als er meerdere ernstige letsels tegelijk aanwezig zijn, kan uw chirurg er ook voor kiezen om de breuk, al dan niet tijdelijk, van buitenaf vast te zetten met een extern fixatie mechanisme (de zogenaamde ‘externe fixateur’).
Zoals elke operatie, heeft ook een operatie voor een gebroken dijbeen kans op complicaties, zoals nabloedingen en ontstekingen van de wond, vaat- en zenuwletsel en het uitbreken van het fixatie materiaal en het niet goed willen vastgroeien van de breuk.
Na de behandeling
Na de operatie bepaalt uw traumachirurg of u het been direct weer mag belasten of niet. Indien u niet direct mag belasten, dan mag dat meestal wel na 6 tot maximaal 12 weken. Wanneer u weer mag gaan belasten is ondermeer afhankelijk van het soort breuk en het gebruikte fixatie materiaal. Indien u nog niet meteen mag belasten, dan mag u meestal wel oefenen en proberen onbelast met krukken te gaan lopen.


Wat u verder nog moet weten
Ook als u direct mag gaan belasten, kan het nog enige tijd duren voordat het volledig belasten ook daadwerkelijk goed gaat. Vaak hebben patiënten in het begin toch krukken nodig om het been enigszins te ontzien. Volledig normaal en pijnvrij gebruik van het been kan al gauw 3-6 maanden of soms nog langer duren. Ook krijgen patiënten regelmatig tijdelijk last van klachten van de heup of de knie door een ander loop- en belastingspatroon. Vaak is hierbij nabehandeling met behulp van een fysiotherapeut nodig.
Vragen
Heeft u nog vragen, stel ze gerust aan uw behandelend arts of huisarts. Bij dringende vragen of problemen vóór uw behandeling kunt u zich het beste wenden tot de afdeling waar de behandeling plaats moet vinden. Wanneer zich thuis na de operatie problemen voordoen, neem dan contact op met de huisarts of het ziekenhuis.
Tot slot
Bent u van mening dat bepaalde informatie ontbreekt of onduidelijk is, dan vernemen wij dat graag van u.