Gebroken bovenarm ter hoogte van de schouder
Inleiding
Deze folder geeft u algemene informatie over de behandeling van een gebroken bovenarm ter hoogte van of vlak onder de schouder. Het is goed u te realiseren dat voor u persoonlijk de situatie anders kan zijn dan beschreven.
Het bovenarmsbot
Het bovenarmsbot (de ‘humerus’) is een lange pijpbeen van de schouder tot aan de elleboog. Ter hoogte van de schouder heeft het bovenarmsbot een bolvormige kop, waarmee de bovenarm een gewricht vormt met het komvormige schouderblad. Dit gewricht vormt het schouder gewricht. Een breuk in dit gebied kan net door of onder de kop van het bovenarmsbot lopen en dus door het schoudergewricht of er net onder lopen. Onder de kop begint de schacht van het bovenarmsbot dat doorloopt tot aan de elleboog.
De breuk
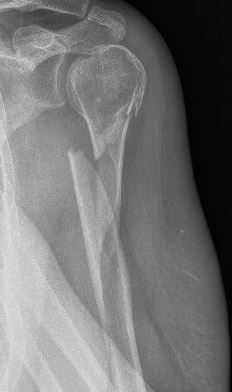
Wanneer het begin van het bovenarmsbot breekt, dan komt dit meestal door een val op de schouder. De klachten kenmerken zich dan door veel pijn in de schouder met een onmogelijkheid de bovenarm of schouder te bewegen. Een bloeduitstorting is vaak pas na enkele dagen zichtbaar. Een Röntgenfoto kan de aanwezigheid en het beloop van de breuk aantonen.


Behandeling
Wanneer de breuk net onder de kop loopt, dan kan in de meerderheid van de gevallen de breuk zonder operatie behandeld worden. U krijgt dan een draagband waarbij de arm uithangt en de schacht van het bovenarmsbot goed onder de kop komt te hangen en in die stand kan vastgroeien. Het duurt dan meestal een week of zes voordat de kop enigszins is vastgegroeid aan de schacht.
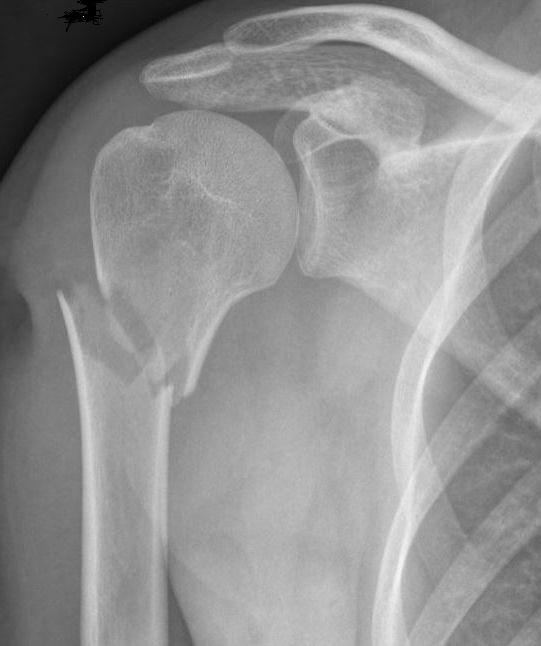
Wanneer de breuk net onder de kop loopt en de kop helemaal niet meer boven de schacht staat en ook na uithangen niet meer goed komt te staan, kan het zijn dat het nodig is om de kop weer onder narcose boven de schacht te zetten en de kop dan meteen operatief vast te zetten aan de schacht.
In het geval dat de breuk door de kop zelf heen loopt, is de behandeling afhankelijk van hoe de breukdelen ten opzichte van elkaar liggen en in hoeverre die nog een goede stand hebben. Indien de vorm van de kop nog goed is, kan de traumachirurg besluiten u zonder operatie uit te behandelen. In dat geval krijgt u ook een draagband of een mitella. Indien de breukdelen echter ernstig verplaatst zijn en de vorm van de kop ernstig verstoord is, kan het zijn dat u geopereerd dient te worden. Of u een operatie dient te krijgen, is onder andere afhankelijk van de stand van de breuk, uw activiteitspatroon en uw lichamelijke toestand.
Operatie
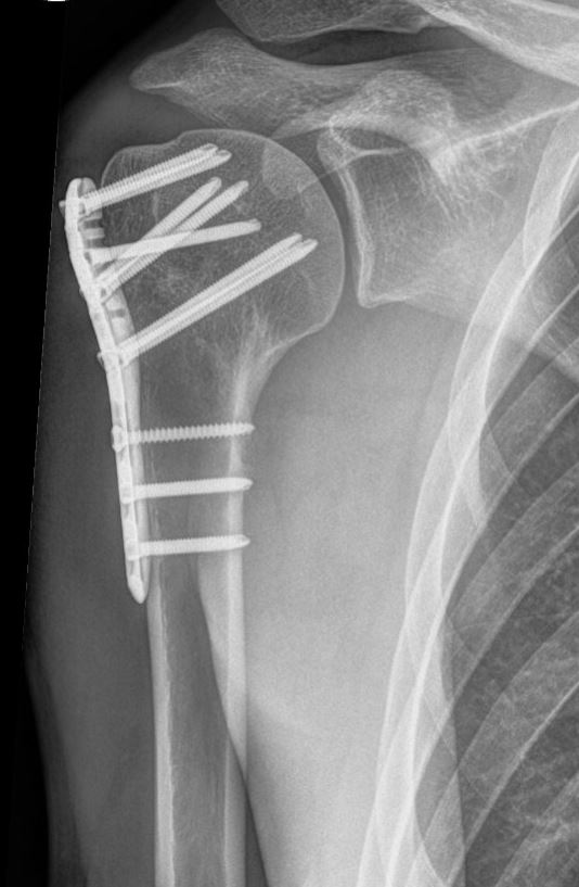
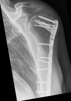
Indien u geopereerd moet worden, zal de traumachirurg de vorm van de kop willen herstellen en de kop of de fragmenten van de kop weer vast willen zetten aan de schacht. Hiervoor heeft uw traumachirurg verschillende opties, afhankelijk van het type breuk en de voorkeur van uw chirurg. Vaak gebruikt worden platen en schroeven om de verschillende breukdelen aan elkaar vast te zetten. Soms kan de chirurg ook besluiten de breuk met een pen en schroeven vast te zetten. Hiervoor is vaak een kleinere snede nodig dan bij een plaat met schroeven.
Wanneer de kop in meerdere stukken is gebroken en uw chirurg inschat dat vastzetten met een plaat en schroeven of pen niet haalbaar is, kan het zijn dat u direct in aanmerking komt voor een kunstkop/schouderprothese. Uit onderzoek blijkt echter dat dit alleen zinvol is bij de zeer ernstige breuken en dat de functionele resultaten hiervan niet altijd even goed zijn. Welke operatie u krijgt, is dus afhankelijk van de eigenschappen van de breuk, uw eigen toestand en de voorkeur van de chirurg.
Zoals elke operatie, heeft ook een operatie voor een gebroken bovenarmsbot kans op complicaties, zoals ontstekingen van de wond, zenuwletsel en het uitbreken van het fixatie materiaal en het niet goed willen vastgroeien van de breuk. Ook hebben patiënten na een operatie nogal eens last van blijvende stijfheid van de schouder ten gevolge van verstijving van het gewrichtskapsel en inwendige littekenweefsel.

Na de behandeling
Meestal zult u na de operatie een mitella of draagband krijgen, zodat de arm rust kan krijgen. Hoe lang u na de operatie rust moet houden, is afhankelijk van het soort breuk en hoe stevig de chirurg de breukdelen weer aan elkaar heeft kunnen zetten. Meestal zal het zo zijn dat u tot 6 weken na de operatie uw arm niet mag belasten maar na 1 tot 2 weken wel voorzichtig mag gaan oefenen op geleide van de pijn om het schoudergewricht soepel te houden en verstijving zo veel mogelijk te voorkomen. Die oefeningen doet u door het bovenlichaam voorover te buigen, zodat de arm in de mitella vrij komt te hangen en u draaiende bewegingen kunt maken met de schouder. Bij deze oefening lijkt het alsof u in een grote pan roert, waarbij u in de loop van de tijd de pan steeds groter ‘maakt’. Ook is het verstandig tijdens de gehele periode zo nu en dan de arm uit de mitella te doen en de elleboog even te strekken.
Wanneer u zonder operatie en dus alleen met een mitella of sling behandeld wordt, dan is de nabehandeling min of meer hetzelfde als na de operatie. U moet na 1 tot 2 weken voorzichtig gaan oefenen op geleide van de pijn zoals hierboven staat beschreven.
Wat u verder nog moet weten
U moet er rekening mee houden dat u al gauw meer dan 6-12 weken nodig heeft voordat u uw schouder weer enigszins goed kunt gebruiken. Vaak is belasten van de arm met kracht pas toegestaan als de breuk al enigszins is vastgegroeid, dit duurt in de regel minimaal zo’n 6 weken. Daarna kunt u pas de kracht en belasting gaan uitbreiden. Ook de beweeglijkheid kan dan pas verder worden uitgebreid. Vaak is nabehandeling met behulp van een fysiotherapeut hierbij nodig. Volledig normaal en pijnvrij gebruik van de schouder kan minstens 3-6 maanden of soms nog langer duren. Hou er rekening mee dat de kans bestaat dat de schouder nooit meer zo flexibel wordt als voor de val.
Vragen
Heeft u nog vragen, stel ze gerust aan uw behandelend arts of huisarts. Bij dringende vragen of problemen vóór uw behandeling kunt u zich het beste wenden tot de afdeling waar de behandeling plaats moet vinden. Wanneer zich thuis na de operatie problemen voordoen, neem dan contact op met de huisarts of het ziekenhuis.
Tot slot
Bent u van mening dat bepaalde informatie ontbreekt of onduidelijk is, dan vernemen wij dat graag van u.