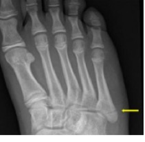
Een breuk van het 5e middenvoetsbeentje komt vaak voor. De middenvoetbeentjes zijn de botten in het midden van uw voet. Het 5e middenvoetbeentje zit aan de kant van uw kleine teen. U krijgt bij behandeling een soort kous en een stevige brace. De kous heet een tubigrip, de stevige brace heet een walker.
De onderstaande informatie is ontwikkeld voor de Virtual Fracture Care App, een samenwerking van de Nederlandse Vereniging voor Traumachirurgie en Zorg Bij Jou.

Samenvatting
| U heeft een breuk in het middenvoetsbeentje van uw kleine teen.U herstelt meestal goed.Een afspraak op de polikliniek is meestal niet nodig.U draagt de eerste 4 weken een walker. Vanaf de eerste dag kunt u op uw voet staan. Doe dit steeds iets langer. Stop als uw voet te veel pijn doet.Als u de walker niet meer draagt, begint u met oefeningen. Oefeningen zijn belangrijk om te zorgen dat uw voet niet stijf wordt. De oefeningen staan hieronder. Heeft u tijdens het herstel vragen of klachten? Neem dan contact op met het ziekenhuis waar u onder behandeling bent. |
De behandeling
De breuk komt vaak voor en herstelt meestal goed. U krijgt een tubigrip. Dat is een soort kous. Ook krijgt u een walker. Dat is een stevige brace. Zo heeft u minder pijn en geneest de breuk het snelst.
| Tot 4 weken |
| Walker dragen.Staan op de voet in de walker. Stop als uw voet te veel pijn doet. |
| 4 tot 8 weken |
| Staan op de voet. Stop als uw voet te veel pijn doet.Als uw voet niet te veel pijn doet, mag u de walker omwisselen voor een stevige schoen. Lukt het niet, doe dan de walker weer aan en probeer het dan na 1 week weer.Gebruik de walker maximaal 8 weken. |
| Na 8 weken |
| Zonder walker.Gebruik uw voet zoals u normaal doet. Stop als uw voet te veel pijn doet.Draag een stevige schoen.U kunt weer gaan sporten. Het kan zijn dat dit pas na 3 maanden goed lukt. |
Instructies
Volg de volgende instructies voor een zo goed mogelijk herstel.
- Als u een kous heeft gekregen, draagt u deze een paar dagen, tot uw voet minder dik is. Doe de kous uit als u gaat slapen.
- Draag de walker minimaal 4 weken en maximaal 8 weken. Als uw voet niet te veel pijn doet, mag u de walker omwisselen voor een stevige schoen.
- Als u gaat slapen, mag u de walker afdoen. Hieronder ziet u hoe u de walker weer aan moet doen.
- In de eerste week is het belangrijk dat u de voet zo veel mogelijk hooghoudt. Voelt de walker strakker aan? Houd uw voet dan omhoog. Uw voet wordt minder dik en u voelt minder druk en pijn.
- U mag vanaf dag 1 op uw voet staan, in de walker. U kunt krukken gebruiken. Sta elke dag iets langer op uw voet, maar stop als het te veel pijn doet.
- Als u de walker niet meer draagt, begint u met oefeningen. Oefeningen zijn belangrijk om te zorgen dat uw voet niet stijf wordt. De oefeningen staan onder kopje ‘oefeningen’.
- U mag 8 weken niet sporten. Na 8 wachten kijkt u of sporten niet te veel pijn doet. Het kan zijn dat dit pas na 3 maanden goed lukt.
- Als u pijn heeft, kunt u paracetamol gebruiken. Gebruik maximaal 4 keer per dag 2 tabletten paracetamol van 500 mg. Doe dit maximaal 7 dagen.
Herstel
- Een controleafspraak op de polikliniek is vaak niet nodig. Als u veel pijn heeft en die pijn na 6 weken niet minder wordt, neem dan contact op met het ziekenhuis waar u onder behandeling bent. Als een controle dan toch nodig is, wordt een afspraak gemaakt.
- Meestal bent u na enkele weken hersteld. Het kan tot 8 weken duren voordat u uw voet weer helemaal kunt gebruiken.
- Om beter te herstellen kunt u oefeningen doen. De oefeningen staan hieronder. Als u na 6 weken nog veel last heeft van de voet, kunt u hulp van een fysiotherapeut vragen.
Walker opnieuw aandoen
Soms doet u de walker af, bijvoorbeeld om te douchen of slapen. In het filmpje ziet u hoe u de walker weer aan moet doen.
Filmpje walker: https://www.youtube.com/watch?v=EobEUU0YnD8
Oefeningen
Om te zorgen dat uw voet niet stijf wordt en u geen kracht verliest, moet u oefeningen doen.
Na 4 weken mag u beginnen met oefenen. Begin met onbelast oefenen. Dit betekent dat u oefeningen doet zonder op uw voet te staan. Start daarna met belast oefenen. Oefen alleen als het niet te veel pijn doet.
- Doe de oefeningen minstens 3 keer per dag.
- Doe elke oefening 10 tot 15 keer.
- Oefen steeds iets meer. Leg tijdens het rusten uw been weer hoog.
- U kunt eventueel in warm water oefenen.
Onbelast oefenen
Voet onbelast bewegen in alle richtingen:
Als uw voet erg stijf is en u de voet niet makkelijk kunt bewegen, kunt u met een sterke sjaal uw tenen naar u toe trekken.
Belast oefenen
Ga belast oefenen als het niet te veel pijn meer doet.
Knie buigen en strekken:
let op: de hak mag niet van de grond komen
Rekoefeningen staand:
Op hakken en tenen staan en lopen:
Knie buigen met een been met en zonder steun: