Tibiaplateau fractuur – Gebroken plateau van de knie
Inleiding
Deze folder geeft u algemene informatie over de behandeling van een gebroken plateau van de knie. Het is goed u te realiseren dat voor u persoonlijk de situatie anders kan zijn dan beschreven.
Het tibia plateau
Het plateau van de knie (ook genoemd ‘tibia plateau’) is het dragende gedeelte van het scheenbeen (de tibia) dat samen met het dijbeen het kniegewricht vormt. Het plateau van de tibia is bedekt met kraakbeen en vormt zo een glad gewrichtsoppervlak. In het midden van het plateau zitten de kruisbanden die richting het dijbeen gaan en aan zowel de binnen als de buitenkant ligt een meniscus.
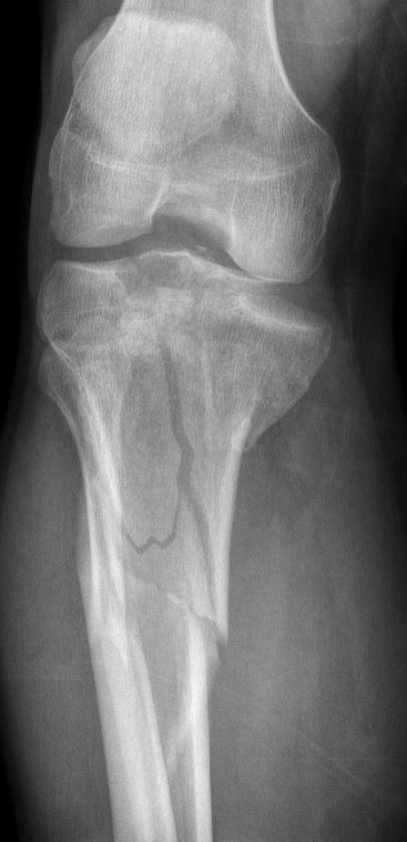
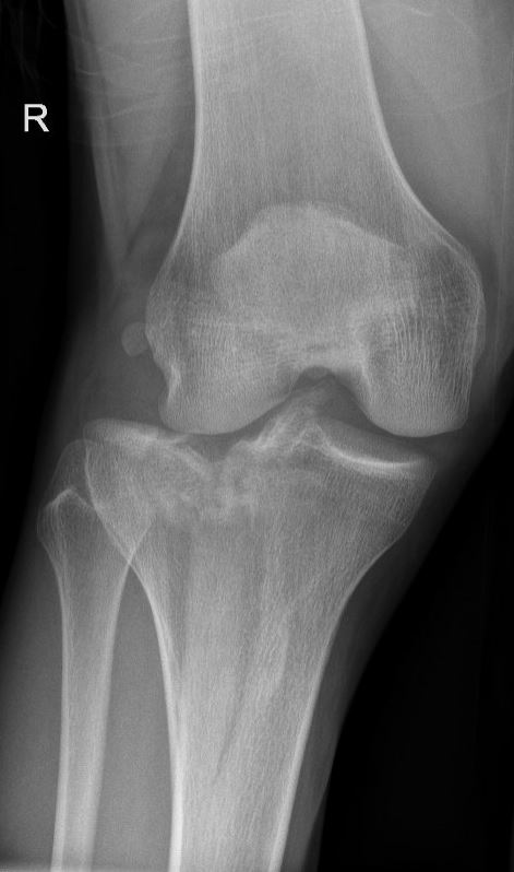
De breuk
Een breuk van het tibia plateau ontstaat door fors inwerkend geweld, vaak door een verkeersongeval of val van hoogte, waarbij de knie meestal geforceerd naar binnen of naar buiten beweegt. Daarmee komt er zoveel druk op het plateau dat deze het begeeft en aan de binnen of buitenkant (of beide) breekt. Hierbij zakt dat gedeelte van het plateau vaak in. Naast het bot raakt dan ook altijd het kraakbeen beschadigd, maar vaak ook de meniscus of zelfs de kruisbanden.

Behandeling
Afhankelijk van de stand van de breuk en het gewrichtsoppervlak, kan de breuk in gips worden behandeld of zal er een operatie noodzakelijk zijn.
Indien de breuk minimaal verplaatst is en de inzakking van het gewrichtsoppervlak minimaal is, kan de knie ingegipst worden en mag u lange tijd niet op het been staan. Immers, wanneer het been wordt belast komt er weer druk op het plateau en kan de nog niet vastgegroeide breuk verder inzakken. Voordat de breuk is vastgegroeid kan het wel 6 tot 12 weken in beslag nemen. Afhankelijk van het type breuk zal er vaak een week of 6 gips nodig zijn, eventueel aanvullend nog een (scharnier) brace.
Meestal zal er echter een operatie nodig zijn om het hoogteverlies in het plateau te corrigeren en het gewrichtsoppervlak zo goed mogelijk te herstellen en vast te zetten. Als de zwelling door de breuk direct te groot is, kan het zijn dat deze operatie wordt uitgesteld totdat de zwelling is afgenomen.
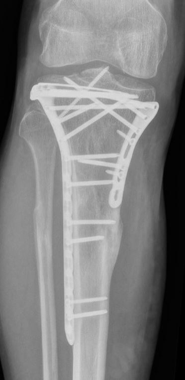
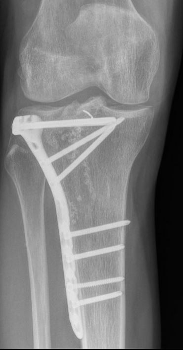
Operatie
Indien u geopereerd moet worden, zal dat meestal gebeuren met een plaat en schroeven om de breukdelen stevig aan elkaar vast te zetten en te verbinden aan de rest van het scheenbeen. Soms zijn hiervoor zelfs meerdere platen nodig. In een enkel geval is het gebruik van alleen schroeven voldoende. Welke operatie u precies krijgt, is afhankelijk van de eigenschappen van de breuk, de toestand van de huid, spieren, zenuwen en bloedvaten en de voorkeur van uw traumachirurg.
Zoals elke operatie, heeft ook een operatie voor een tibia plateau kans op complicaties, zoals nabloedingen en ontstekingen van de wond, wondgenezingsstoornissen, vaat- en zenuwletsel en het uitbreken van het fixatie materiaal en het niet goed willen vastgroeien van de breuk. Ook is er kans op aanhoudende pijnklachten en vroegtijdige slijtage van het gewricht ten gevolge van het kraakbeenletsel.

Na de behandeling
Na de operatie bepaalt uw traumachirurg wanneer u uw been weer mag gaan belasten. Meestal mag dat niet eerder dan 6 tot 12 weken. Uw traumachirurg bepaalt tevens of u na de operatie gips krijgt of dat u direct (onbelast) mag gaan oefenen. Soms wordt hierbij een automatisch bewegende beenlade gebruikt, zodat de knie al direct soepel kan worden gemaakt. Een fysiotherapeut zal u hierbij begeleiden.
Wat u verder nog moet weten
Ongeacht of u wel of geen gips krijgt na de operatie, in principe mag u na een tibia plateau breuk uw been lange tijd niet belasten. Hou er echter rekening mee dat wanneer u wel mag gaan beginnen met belasten, u nog geruime tijd nodig zult hebben om alles weer soepel te krijgen en de spieren en pezen weer op kracht te krijgen. Volledig normaal en pijnvrij gebruik van het been kan al gauw 6 maanden of nog langer gaan duren. Vaak is hierbij intensieve nabehandeling met behulp van een fysiotherapeut nodig.
Verder is het belangrijk om te realiseren dat het tibia plateau een onderdeel is van het kniegewricht en dat bij lopen en staan dit gewricht continue belast wordt. Breuken van dit plateau zijn daarom vaak ernstig en hebben vaak een langdurige revalidatie nodig. Bovendien geven zij vaak klachten op de lange termijn door vroegtijdige slijtage van het gewricht.
Vragen
Heeft u nog vragen, stel ze gerust aan uw behandelend arts of huisarts. Bij dringende vragen of problemen vóór uw behandeling kunt u zich het beste wenden tot de afdeling waar de behandeling plaats moet vinden. Wanneer zich thuis na de operatie problemen voordoen, neem dan contact op met de huisarts of het ziekenhuis.
Tot slot
Bent u van mening dat bepaalde informatie ontbreekt of onduidelijk is, dan vernemen wij dat graag van u.