Humerusschacht fractuur – gebroken bovenarm ter hoogte van de schacht
Inleiding
Deze folder geeft u algemene informatie over de behandeling van een breuk ter hoogte van de schacht van de bovenarm. Het is goed u te realiseren dat voor u persoonlijk de situatie anders kan zijn dan beschreven.
Het bovenarmsbot
Het bovenarmsbot (de ‘humerus’) is een lange pijpbeen van de schouder tot aan de elleboog. Ter hoogte van de schouder heeft het bovenarmsbot een bolvormige kop, waarmee de bovenarm een gewricht vormt met het komvormige schouderblad. Dit gewricht vormt het schoudergewricht. Onder de kop van het bovenarmsbot begint de schacht die doorloopt tot aan de elleboog. Langs de schacht van het bovenarmsbot loopt een zenuw die het voor gevoel op de handrug zorgt en voor het strekken van de pols en de vingers. Deze zenuw kan soms geïrriteerd raken door een breuk van de schacht van het bovenarmsbot. De functie van de zenuw kan dan tijdelijk uitvallen. Zelden dat deze zenuw echt (blijvend) beschadigd is.
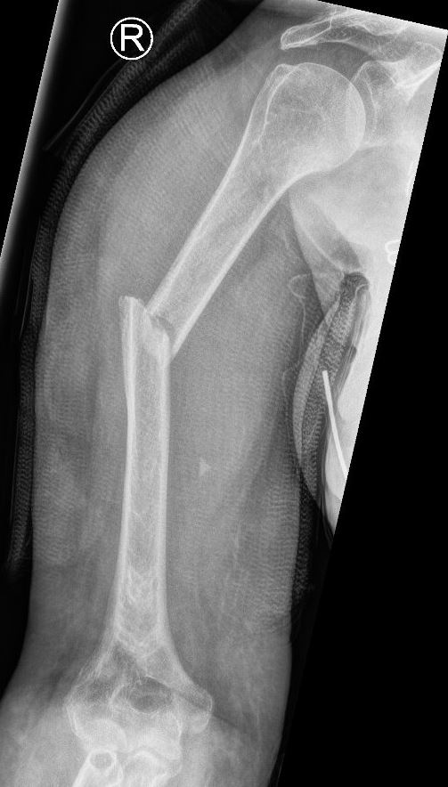
De breuk
Wanneer de schacht van het bovenarmsbot breekt, dan komt dit meestal door een val op de schouder of op een (uitgestrekte) bovenarm, dan wel door een directe klap tegen de bovenarm. De klachten kenmerken zich door veel pijn in de bovenarm met een onmogelijkheid de bovenarm te bewegen. Een bloeduitstorting is vaak pas na enkele dagen zichtbaar. Een Röntgenfoto kan de aanwezigheid en het beloop van de breuk aantonen.

Behandeling
Wanneer de breuk door de schacht van het bot loopt en de botdelen niet teveel verplaatst zijn, kunt u in principe zonder operatie behandeld worden. U krijgt dan een draagband waarbij de arm uithangt en de schacht van het bovenarmsbot zich in een goede stand zal uitstrekken en in die stand kan vastgroeien. Vaak zal er ook op de gipskamer een aanvullende brace voor om de bovenarm worden gemaakt, om extra stabiliteit te bieden. Het duurt dan meestal een week of 6 tot 12 voordat de schacht weer enigszins is vastgegroeid.
Wanneer de breukdelen ernstig verplaatst zijn, komt het nogal eens voor dat er spier tussen de breukdelen gaat zitten en daardoor de breukdelen ook na uithangen niet goed bij elkaar kunnen komen. In dat geval kan de traumachirurg besluiten u binnen enkele dagen te opereren. Ook als de chirurg verwacht dat u sneller en beter herstelt als u geopereerd wordt, kan de chirurg u direct een operatie voorstellen. Ook indien u meerdere letsels tegelijk heeft, kan een operatie van uw bovenarmsbot uw revalidatie bespoedigen. Of u geopereerd dient te worden, is dus afhankelijk van de stand van uw breuk, uw lichamelijke toestand en de eventuele aanwezigheid van andere letsels en de voorkeur van uw chirurg.
Operatie
Indien u geopereerd wordt, zal de traumachirurg proberen de breukdelen van de schacht weer in de juiste vorm en richting aan elkaar te zetten. Hiervoor heeft uw traumachirurg verschillende opties, afhankelijk van het type breuk en de voorkeur van uw chirurg. Veel gebruikt is een pen in de mergholte van het bot, die via de schouder of via de elleboog kan worden ingebracht. De pen wordt vervolgens met dwarse schroefjes aan het begin en het einde van de pen vastgezet. Een andere optie is het gebruik van platen en schroeven om de verschillende breukdelen stevig aan elkaar vast te zetten. Voor het plaatsen van een plaat is wel een grotere snede nodig dan voor een pen. Welke operatie u uiteindelijk krijgt, is afhankelijk van de eigenschappen van de breuk, uw eigen toestand en de voorkeur van de chirurg.
Zoals elke operatie, heeft ook een operatie voor een gebroken bovenarmsbot kans op complicaties, zoals nabloedingen en ontstekingen van de wond, zenuwletsel en het uitbreken van het fixatie materiaal en het niet goed willen vastgroeien van de breuk.
Wanneer u zonder operatie behandeld wordt, loopt u niet de risico’s van de operatie, maar is de kans wel aanwezig dat het langer duurt voordat de breuk genezen is. Ook bestaat er een kans dat de breuk helemaal niet wil genezen. In dat geval komt u in tweede instantie alsnog in aanmerking voor een operatie.

Na de behandeling
Meestal zult u na de operatie een mitella of draagband krijgen, zodat de arm rust kan krijgen. Hoe lang u na de operatie rust moet houden, is afhankelijk van het soort breuk en hoe stevig de chirurg de breukdelen weer aan elkaar heeft kunnen zetten. Meestal zal het zo zijn dat u tot 6 weken na de operatie uw arm niet teveel mag belasten maar al wel snel na de operatie mag gaan oefenen om het schoudergewricht en de elleboog soepel te houden.
Ook indien u zonder operatie behandeld wordt, is het belangrijk dat uw schouder en elleboog wel in beweging blijven en dat u voorzichtig gaat oefenen op geleide van de pijn om stijfheid te voorkomen.
Wat u verder nog moet weten
Vaak is belasten van de arm met kracht pas toegestaan als de breuk al enigszins is vastgegroeid. Na een operatie duurt dit zo’n 6 weken. Indien u zonder operatie wordt behandeld, kan dat soms nog wel langer duren. De Röntgenfoto’s en uw pijnklachten zullen een indicatie geven wanneer u de oefeningen kunt gaan uitbreiden. Pas als de breuk enigszins vast zit, kunt u de kracht en belasting gaan uitbreiden. Vaak is hierbij nabehandeling met behulp van een fysiotherapeut nodig. Volledig normaal en pijnvrij gebruik van de arm kan minstens 3-6 maanden of soms nog langer duren.
Vragen
Heeft u nog vragen, stel ze gerust aan uw behandelend arts of huisarts. Bij dringende vragen of problemen vóór uw behandeling kunt u zich het beste wenden tot de afdeling waar de behandeling plaats moet vinden. Wanneer zich thuis na de operatie problemen voordoen, neem dan contact op met de huisarts of het ziekenhuis.
Tot slot
Bent u van mening dat bepaalde informatie ontbreekt of onduidelijk is, dan vernemen wij dat graag van u.